中国 EN 400-660-9091

联系我们

电话:025-68037686

地址:江苏生命科技创新园F6幢1层

订购:nanjing03@biogot.com

服务:biorase01@biogot.com

合作:lvyun@biogot.com

支持:may@biogot.com

Rab5 polyclonal antibody

货号: BZ16636
价格 1140
货期 现货(1-2个工作日)
25ul 50ul 100ul 200ul
No. :BZ16636
Product Name :Rab5 polyclonal antibody
Swiss-Prot :P20339
Host :Rabbit
Reactivity :Human,Mouse,Rat
Applications :WB,IHC-P
Application_all :WB: 1/500-1/1000 IHC: 1/50-1/100
Background :Rab5 is a member of the Ras superfamily of small Rab GTPases. Rab5 is localized at the plasma membrane and early endosomes and functions as a key regulator of vesicular trafficking during early endocytosis (1). The conformational change between Rab5 GTP/GDP states is essential for its biological function as a rate limiting regulator at multiple steps during endocytosis.
Product :Rabbit IgG in phosphate buffered saline , pH 7.4, 150mM NaCl, 0.02% sodium azide and 50% glycerol.
Purification&Purity :Affinity Purified
Storage&Stability :Store at 4°C short term. Aliquot and store at -20°C long term. Avoid freeze-thaw cycles.
Specificity :IgG
BiowMW :Calculated MW: 24 kDa; Observed MW: 24 kDa
Note :For research use only, not for use in diagnostic procedure.
Alternative Name :RAB5A; RAB5; RAS associated protein RAB5A; Ras related protein Rab 5A
Immunogen :A synthesized peptide derived from human Rab5
Conjugate :Unconjugated
Modification :Unmodified
Western blot analysis of Rab5 in MCF-7 lysates using Rab5 antibody.
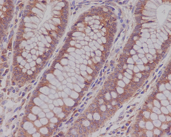
Immunohistochemistry analysis of paraffin-embedded Human colon using Rab5 antibody.High-pressure and temperature Sodium Citrate pH 6.0 was used for antigen retrieval.

关注我们

400-660-9091

电话:025-68037686

地址:江苏生命科技创新园F6幢1层

订购:nanjing03@biogot.com

服务:biorase01@biogot.com

合作:lvyun@biogot.com

支持:may@biogot.com