中国 EN 400-660-9091

联系我们

电话:025-68037686

地址:江苏生命科技创新园F6幢1层

订购:nanjing03@biogot.com

服务:biorase01@biogot.com

合作:lvyun@biogot.com

支持:may@biogot.com

LC3A polyclonal antibody

货号: BZ16635
价格 1140
货期 现货(1-2个工作日)
25ul 50ul 100ul 200ul
No. :BZ16635
Product Name :LC3A polyclonal antibody
Swiss-Prot :Q9H492
Host :Rabbit
Reactivity :Human,Mouse,Rat
Applications :WB,IHC-P,ICC/IF,IP,FC
Application_all :WB: 1/500-1/1000 IHC: 1/50-1/100 IF: 1/50-1/200 IP: 1/20 FC: 1/50-1/100
Background :Autophagy marker Light Chain 3 (LC3) was originally identified as a subunit of microtubule-associated proteins 1A and 1B (termed MAP1LC3), and subsequently found to contain similarity to the yeast protein Apg8/Aut7/Cvt5 critical for autophagy. Three human LC3 isoforms (LC3A, LC3B, and LC3C) undergo post-translational modifications during autophagy. Cleavage of LC3 at the carboxy terminus immediately following synthesis yields the cytosolic LC3-I form.
Product :Rabbit IgG in phosphate buffered saline , pH 7.4, 150mM NaCl, 0.02% sodium azide and 50% glycerol.
Purification&Purity :Affinity Purified
Storage&Stability :Store at 4°C short term. Aliquot and store at -20°C long term. Avoid freeze-thaw cycles.
Specificity :IgG
BiowMW :Calculated MW: 14 kDa; Observed MW: 14 kDa
Note :For research use only, not for use in diagnostic procedure.
Alternative Name :Microtubule-associated proteins 1A/1B light chain 3A; Autophagy-related protein LC3 A; Autophagy-related ubiquitin-like modifier LC3 A; MAP1 light chain 3-like protein 1; MAP1A/MAP1B light chain 3 A; MAP1A/MAP1B LC3 A; Microtubule-associated protein 1 light chain 3 alpha
Immunogen :A synthesized peptide derived from human MAP1LC3A
Conjugate :Unconjugated
Modification :Unmodified
Western blot analysis of LC3A in Hela lysates using LC3A antibody.
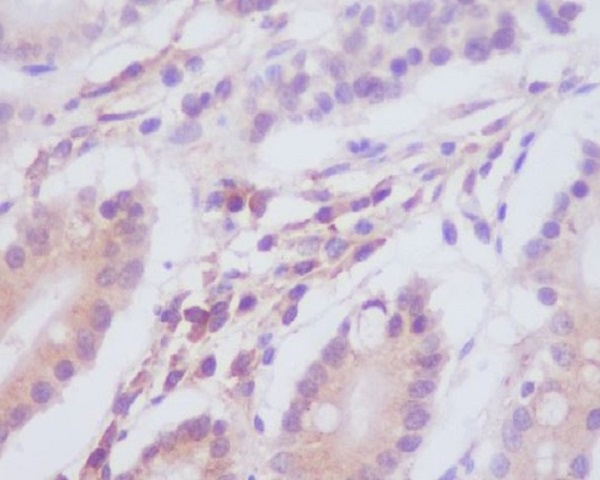
Immunohistochemistry analysis of paraffin-embedded Human stomach using LC3A antibody.High-pressure and temperature Sodium Citrate pH 6.0 was used for antigen retrieval.
Immunofluorescence analysis of LC3A in Hela using LC3A antibody.

关注我们

400-660-9091

电话:025-68037686

地址:江苏生命科技创新园F6幢1层

订购:nanjing03@biogot.com

服务:biorase01@biogot.com

合作:lvyun@biogot.com

支持:may@biogot.com