中国 EN 400-660-9091

联系我们

电话:025-68037686

地址:江苏生命科技创新园F6幢1层

订购:nanjing03@biogot.com

服务:biorase01@biogot.com

合作:lvyun@biogot.com

支持:may@biogot.com

Fibrillarin polyclonal antibody

货号: BZ16628
价格 1140
货期 现货(1-2个工作日)
25ul 50ul 100ul 200ul
No. :BZ16628
Product Name :Fibrillarin polyclonal antibody
Swiss-Prot :P22087
Host :Rabbit
Reactivity :Human,Mouse,Rat
Applications :WB,IHC-P,ICC/IF,IP,FC
Application_all :WB: 1/500-1/1000 IHC: 1/50-1/100 IF: 1/50-1/200 IP: 1/20 FC: 1/50-1/100
Background :Fibrillarin is a 2'-O-methyltransferase located in fibrillar regions and Cajal bodies of the nucleolus, where RNA transcription and pre-RNA processing take place. Fibrillarin associates with several other structual proteins as well as box C/D snoRNA to form a complex that functions in pre-rRNA processing, pre-rRNA methylation and ribosome assembly. This complex catalyzes site-specific 2'-O-ribose methylation of targeted nucleotides within the rRNA sequence. The sequence, structure and function of fibrillarin are highly conserved and fibrillarin gene expression is essential for early embryonic development.
Product :Rabbit IgG in phosphate buffered saline , pH 7.4, 150mM NaCl, 0.02% sodium azide and 50% glycerol.
Purification&Purity :Affinity Purified
Storage&Stability :Store at 4°C short term. Aliquot and store at -20°C long term. Avoid freeze-thaw cycles.
Specificity :IgG
BiowMW :Calculated MW: 34 kDa; Observed MW: 34 kDa
Note :For research use only, not for use in diagnostic procedure.
Alternative Name :FIB; FLRN; Nop1; RNU3IP1
Immunogen :A synthesized peptide derived from human Fibrillarin
Conjugate :Unconjugated
Modification :Unmodified
Western blot analysis of Fibrillarin in HepG2 lysates using Fibrillarin antibody.
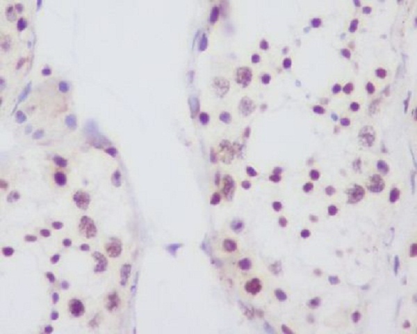
Immunohistochemistry analysis of paraffin-embedded Human testis using Fibrillarin antibody.High-pressure and temperature Sodium Citrate pH 6.0 was used for antigen retrieval.
Immunofluorescence analysis of Fibrillarin in Hela using Fibrillarin antibody.

关注我们

400-660-9091

电话:025-68037686

地址:江苏生命科技创新园F6幢1层

订购:nanjing03@biogot.com

服务:biorase01@biogot.com

合作:lvyun@biogot.com

支持:may@biogot.com