中国 EN 400-660-9091

联系我们

电话:025-68037686

地址:江苏生命科技创新园F6幢1层

订购:nanjing03@biogot.com

服务:biorase01@biogot.com

合作:lvyun@biogot.com

支持:may@biogot.com

IRF1 polyclonal antibody

货号: BZ16627
价格 1140
货期 现货(1-2个工作日)
25ul 50ul 100ul 200ul
No. :BZ16627
Product Name :IRF1 polyclonal antibody
Swiss-Prot :P10914
Host :Rabbit
Reactivity :Human,Mouse,Rat
Applications :WB,IHC-P,ICC/IF,IP,FC
Application_all :WB: 1/500-1/1000 IHC: 1/50-1/100 IF: 1/50-1/200 IP: 1/20 FC: 1/50-1/100
Background :Specifically binds to the upstream regulatory region of type I IFN and IFN-inducible MHC class I genes (the interferon consensus sequence (ICS)) and activates those genes. Acts as a tumor suppressor. Defects in IRF1 are a cause of gastric cancer (GASC) [MIM:613659]; also called gastric cancer intestinal or stomach cancer. Gastric cancer is a malignant disease which starts in the stomach, can spread to the esophagus or the small intestine, and can extend through the stomach wall to nearby lymph nodes and organs. It also can metastasize to other parts of the body.
Product :Rabbit IgG in phosphate buffered saline , pH 7.4, 150mM NaCl, 0.02% sodium azide and 50% glycerol.
Purification&Purity :Affinity Purified
Storage&Stability :Store at 4°C short term. Aliquot and store at -20°C long term. Avoid freeze-thaw cycles.
Specificity :IgG
BiowMW :Calculated MW: 37 kDa; Observed MW: 48 kDa
Note :For research use only, not for use in diagnostic procedure.
Alternative Name :IRF1; Interferon regulatory factor 1; IRF-1
Immunogen :A synthesized peptide derived from human IRF1
Conjugate :Unconjugated
Modification :Unmodified
Western blot analysis of IRF1 in Jurkat lysates using IRF1 antibody.
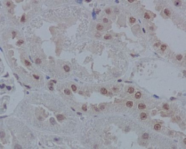
Immunohistochemistry analysis of paraffin-embedded rat kidney using IRF1 antibody.High-pressure and temperature Sodium Citrate pH 6.0 was used for antigen retrieval.
Immunofluorescence analysis of IRF1 in Hela using IRF1 antibody.

关注我们

400-660-9091

电话:025-68037686

地址:江苏生命科技创新园F6幢1层

订购:nanjing03@biogot.com

服务:biorase01@biogot.com

合作:lvyun@biogot.com

支持:may@biogot.com