中国 EN 400-660-9091

联系我们

电话:025-68037686

地址:江苏生命科技创新园F6幢1层

订购:nanjing03@biogot.com

服务:biorase01@biogot.com

合作:lvyun@biogot.com

支持:may@biogot.com

Hydroxyl-Histone H2A (Tyr39) polyclonal antibody

货号: BZ16616
价格 1350
货期 现货(1-2个工作日)
25ul 50ul 100ul 200ul
No. :BZ16616
Product Name :Hydroxyl-Histone H2A (Tyr39) polyclonal antibody
Swiss-Prot :P04908
Host :Rabbit
Reactivity :Human,Mouse,Rat
Applications :WB,IHC-P
Application_all :WB: 1/500-1/1000 IHC: 1/50-1/100
Background :Core component of nucleosome. Nucleosomes wrap and compact DNA into chromatin, limiting DNA accessibility to the cellular machineries which require DNA as a template. Histones thereby play a central role in transcription regulation, DNA repair, DNA replication and chromosomal stability. DNA accessibility is regulated via a complex set of post-translational modifications of histones, also called histone code, and nucleosome remodeling.
Product :Rabbit IgG in phosphate buffered saline , pH 7.4, 150mM NaCl, 0.02% sodium azide and 50% glycerol.
Purification&Purity :Affinity Purified
Storage&Stability :Store at 4°C short term. Aliquot and store at -20°C long term. Avoid freeze-thaw cycles.
Specificity :IgG
BiowMW :Calculated MW: 14 kDa; Observed MW: 14 kDa
Note :For research use only, not for use in diagnostic procedure.
Alternative Name :H2A.1; H2A/c; H2A1; H2AFC; H2AFD; H2AFI; H2AFN; H2AFP; HIST1H2AG; HIST1H2AI; HIST1H2AK; HIST1H2AL; HIST1H2AM; histone cluster 1; H2ai; Histone H2A type 1; Histone H2A/p
Immunogen :A synthesized peptide derived from human Histone H2A (hydroxyl Y39)
Conjugate :Unconjugated
Modification :Hydroxylated
Western blot analysis of Calreticulin in NIH/3T3 lysates; A549 lysates using Hydroxyl-Histone H2A antibody.
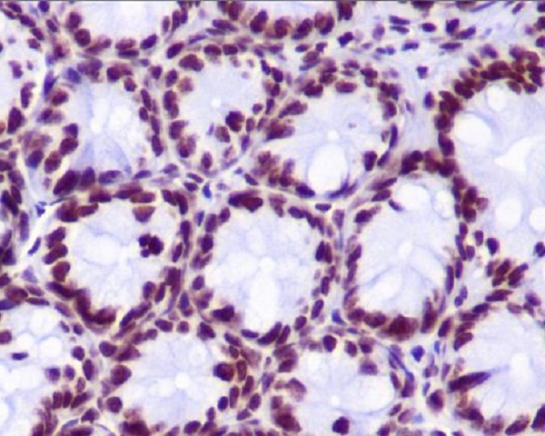
Immunohistochemistry analysis of paraffin-embedded mouse colon using Histone H2A antibody.High-pressure and temperature Sodium Citrate pH 6.0 was used for antigen retrieval.

关注我们

400-660-9091

电话:025-68037686

地址:江苏生命科技创新园F6幢1层

订购:nanjing03@biogot.com

服务:biorase01@biogot.com

合作:lvyun@biogot.com

支持:may@biogot.com