中国 EN 400-660-9091

联系我们

电话:025-68037686

地址:江苏生命科技创新园F6幢1层

订购:nanjing03@biogot.com

服务:biorase01@biogot.com

合作:lvyun@biogot.com

支持:may@biogot.com

Stathmin 1 polyclonal antibody

货号: BZ16608
价格 1140
货期 现货(1-2个工作日)
25ul 50ul 100ul 200ul
No. :BZ16608
Product Name :Stathmin 1 polyclonal antibody
Swiss-Prot :P16949
Host :Rabbit
Reactivity :Human,Mouse,Rat
Applications :WB,IHC-P,ICC/IF,IP,FC
Application_all :WB: 1/500-1/1000 IHC: 1/50-1/100 IF: 1/50-1/200 IP: 1/20 FC: 1/50-1/100
Background :Involved in the regulation of the microtubule (MT) filament system by destabilizing microtubules. Prevents assembly and promotes disassembly of microtubules. Phosphorylation at Ser-16 may be required for axon formation during neurogenesis. Involved in the control of the learned and innate fear.
Product :Rabbit IgG in phosphate buffered saline , pH 7.4, 150mM NaCl, 0.02% sodium azide and 50% glycerol.
Purification&Purity :Affinity Purified
Storage&Stability :Store at 4°C short term. Aliquot and store at -20°C long term. Avoid freeze-thaw cycles.
Specificity :IgG
BiowMW :Calculated MW: 17 kDa; Observed MW: 17 kDa
Note :For research use only, not for use in diagnostic procedure.
Alternative Name :STMN1; C1orf215; LAP18; OP18; Stathmin; Leukemia-associated phosphoprotein p18; Metablastin; Oncoprotein 18; Op18; Phosphoprotein p19; pp19; Prosolin; Protein Pr22; pp17
Immunogen :A synthesized peptide derived from human Stathmin 1
Conjugate :Unconjugated
Modification :Unmodified
Western blot analysis of Stathmin 1 in PC-12 lysates using Stathmin 1 antibody.
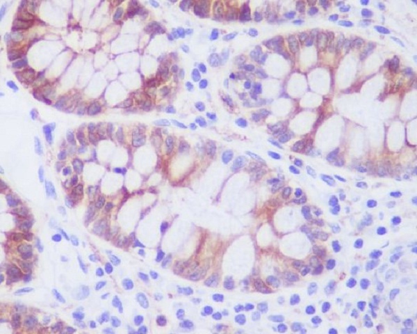
Immunohistochemistry analysis of paraffin-embedded Human colon using Stathmin 1 antibody.High-pressure and temperature Sodium Citrate pH 6.0 was used for antigen retrieval.

关注我们

400-660-9091

电话:025-68037686

地址:江苏生命科技创新园F6幢1层

订购:nanjing03@biogot.com

服务:biorase01@biogot.com

合作:lvyun@biogot.com

支持:may@biogot.com