中国 EN 400-660-9091

联系我们

电话:025-68037686

地址:江苏生命科技创新园F6幢1层

订购:nanjing03@biogot.com

服务:biorase01@biogot.com

合作:lvyun@biogot.com

支持:may@biogot.com

Alkaline Phosphatase polyclonal antibody

货号: BZ16603
价格 1140
货期 现货(1-2个工作日)
25ul 50ul 100ul 200ul
No. :BZ16603
Product Name :Alkaline Phosphatase polyclonal antibody
Swiss-Prot :P05186
Host :Rabbit
Reactivity :Human,Mouse,Rat
Applications :WB,IHC-P,ICC/IF,IP,FC
Application_all :WB: 1/500-1/1000 IHC: 1/50-1/100 IF: 1/50-1/200 IP: 1/20 FC: 1/50-1/100
Background :There are at least four distinct but related alkaline phosphatases: intestinal, placental, placental-like, and liver/bone/kidney (tissue non-specific). The first three are located together on chromosome 2, while the tissue non-specific form is located on chromosome 1. The product of this gene is a membrane bound glycosylated enzyme that is not expressed in any particular tissue and is, therefore, referred to as the tissue-nonspecific form of the enzyme.
Product :Rabbit IgG in phosphate buffered saline , pH 7.4, 150mM NaCl, 0.02% sodium azide and 50% glycerol.
Purification&Purity :Affinity Purified
Storage&Stability :Store at 4°C short term. Aliquot and store at -20°C long term. Avoid freeze-thaw cycles.
Specificity :IgG
BiowMW :Calculated MW: 57 kDa; Observed MW: 75 kDa
Note :For research use only, not for use in diagnostic procedure.
Alternative Name :ALPL; Alkaline phosphatase; tissue-nonspecific isozyme; AP-TNAP; TNSALP; Alkaline phosphatase liver/bone/kidney isozyme
Immunogen :A synthesized peptide derived from human Alkaline Phosphatase
Conjugate :Unconjugated
Modification :Unmodified
Western blot analysis of Alkaline Phosphatase in HepG2 lysates; JAR lysates using Alkaline Phosphatase antibody.
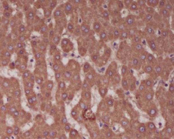
Immunohistochemistry analysis of paraffin-embedded Human liver using Alkaline Phosphatase antibody.High-pressure and temperature Sodium Citrate pH 6.0 was used for antigen retrieval.
Immunofluorescence analysis of Alkaline Phosphatase in Hela using Alkaline Phosphatase antibody.

关注我们

400-660-9091

电话:025-68037686

地址:江苏生命科技创新园F6幢1层

订购:nanjing03@biogot.com

服务:biorase01@biogot.com

合作:lvyun@biogot.com

支持:may@biogot.com