中国 EN 400-660-9091

联系我们

电话:025-68037686

地址:江苏生命科技创新园F6幢1层

订购:nanjing03@biogot.com

服务:biorase01@biogot.com

合作:lvyun@biogot.com

支持:may@biogot.com

Phospho-eIF4E (Ser209) polyclonal antibody

货号: BZ16602
价格 1350
货期 现货(1-2个工作日)
25ul 50ul 100ul 200ul
No. :BZ16602
Product Name :Phospho-eIF4E (Ser209) polyclonal antibody
Swiss-Prot :P06730
Host :Rabbit
Reactivity :Human,Mouse,Rat
Applications :WB,IHC-P,ICC/IF,IP
Application_all :WB: 1/500-1/1000 IHC: 1/50-1/100 IF: 1/50-1/200 IP: 1/20
Background :eIF4E, a protein modulates translation of maternal mRNAs in early embryos before the onset of zygotic transcription. eIF4E also influences the overall rate of translation. eIF4E binds to the 7 methyl GTP cap structure of eukaryotic mRNAs. Phosphorylation of eIF4E on serine 209 regulates the affinity of this protein for the 7 methyl GTP cap and/or RNA. Phosphorylation also enhances the interaction of eIF4E with eIF4G, which form a complex known as eIF4F. eIF4E phosphorylation is correlated with increased translational rate in a number of cell types.
Product :Rabbit IgG in phosphate buffered saline , pH 7.4, 150mM NaCl, 0.02% sodium azide and 50% glycerol.
Purification&Purity :Affinity Purified
Storage&Stability :Store at 4°C short term. Aliquot and store at -20°C long term. Avoid freeze-thaw cycles.
Specificity :IgG
BiowMW :Calculated MW: 25 kDa; Observed MW: 25 kDa
Note :For research use only, not for use in diagnostic procedure.
Alternative Name :EIF4E; EIF4EL1; EIF4F; Eukaryotic translation initiation factor 4E; eIF-4E; eIF4E; eIF-4F 25 kDa subunit; mRNA cap-binding protein
Immunogen :A synthesized peptide derived from human Phospho-eIF4E (S209)
Conjugate :Unconjugated
Modification :Phosphorylated
Western blot analysis of eIF4E in HEK293 lysates; mouse spleen lysates using Phospho-eIF4E antibody.
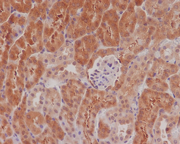
Immunohistochemistry analysis of paraffin-embedded mouse kidney using Phospho-eIF4E antibody.High-pressure and temperature Sodium Citrate pH 6.0 was used for antigen retrieval.

关注我们

400-660-9091

电话:025-68037686

地址:江苏生命科技创新园F6幢1层

订购:nanjing03@biogot.com

服务:biorase01@biogot.com

合作:lvyun@biogot.com

支持:may@biogot.com