中国 EN 400-660-9091

联系我们

电话:025-68037686

地址:江苏生命科技创新园F6幢1层

订购:nanjing03@biogot.com

服务:biorase01@biogot.com

合作:lvyun@biogot.com

支持:may@biogot.com

gamma Tubulin polyclonal antibody

货号: BZ16599
价格 1140
货期 现货(1-2个工作日)
25ul 50ul 100ul 200ul
No. :BZ16599
Product Name :gamma Tubulin polyclonal antibody
Swiss-Prot :P23258
Host :Rabbit
Reactivity :Human,Mouse,Rat,Monkey,Chicken,Hamster,Cow,Dog,Fish,Xenopus,Tropicalis
Applications :WB,IHC-P,ICC/IF,IP,FC
Application_all :WB: 1/500-1/1000 IHC: 1/50-1/100 IF: 1/50-1/200 IP: 1/20 FC: 1/50-1/100
Background :TUBG1 Tubulin is the major constituent of microtubules. Gamma tubulin is found at microtubule organizing centers (MTOC) such as the spindle poles or the centrosome. Pericentriolar matrix component that regulates alpha/beta tubulin minus-end nucleation, centrosome duplication and spindle formation. Interacts with GCP2 and GCP3. Interacts with B9D2. Interacts with CDK5RAP2;
Product :Rabbit IgG in phosphate buffered saline , pH 7.4, 150mM NaCl, 0.02% sodium azide and 50% glycerol.
Purification&Purity :Affinity Purified
Storage&Stability :Store at 4°C short term. Aliquot and store at -20°C long term. Avoid freeze-thaw cycles.
Specificity :IgG
BiowMW :Calculated MW: 51 kDa; Observed MW: 48 kDa
Note :For research use only, not for use in diagnostic procedure.
Alternative Name :TUBG1; TUBG; Tubulin gamma-1 chain; Gamma-1-tubulin; Gamma-tubulin complex component 1; GCP-1
Immunogen :A synthesized peptide derived from human Tubulin gamma
Conjugate :Unconjugated
Modification :Unmodified
Western blot analysis of Tubulin gamma in HeLa lysates; NIH 3T3 lysates; C6 lysates; Zebrafish lysates; COS1 lysates; MDCK lysates using gamma Tubulin antibody.
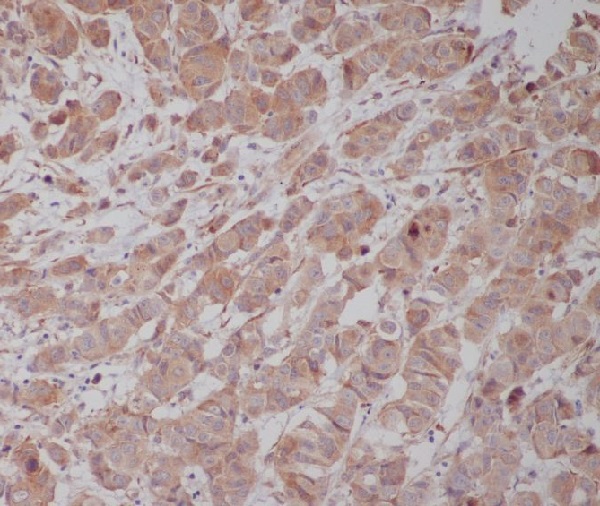
Immunohistochemistry analysis of paraffin-embedded Human breast cancer using Tubulin gamma antibody.High-pressure and temperature Sodium Citrate pH 6.0 was used for antigen retrieval.

关注我们

400-660-9091

电话:025-68037686

地址:江苏生命科技创新园F6幢1层

订购:nanjing03@biogot.com

服务:biorase01@biogot.com

合作:lvyun@biogot.com

支持:may@biogot.com