中国 EN 400-660-9091

联系我们

电话:025-68037686

地址:江苏生命科技创新园F6幢1层

订购:nanjing03@biogot.com

服务:biorase01@biogot.com

合作:lvyun@biogot.com

支持:may@biogot.com

Bak polyclonal antibody

货号: BZ16594
价格 1140
货期 现货(1-2个工作日)
25ul 50ul 100ul 200ul
No. :BZ16594
Product Name :Bak polyclonal antibody
Swiss-Prot :Q16611
Host :Rabbit
Reactivity :Human,Mouse
Applications :WB,IHC-P,ICC/IF,IP,FC
Application_all :WB: 1/500-1/1000 IHC: 1/50-1/100 IF: 1/50-1/200 IP: 1/20 FC: 1/50-1/100
Background :Bak is a proapoptotic member of the Bcl-2 family. This protein is located on the outer membrane of mitochondria and is an essential component for transduction of apoptotic signals through the mitochondrial pathway. Upon apoptotic stimulation, an upstream stimulator like truncated BID (tBID) induces conformational changes in Bak to form oligomer channels in the mitochondrial membrane for cytochrome c release. The release of cytochrome c to the cytosol activates the caspase-9 pathway and eventually leads to cell death.
Product :Rabbit IgG in phosphate buffered saline , pH 7.4, 150mM NaCl, 0.02% sodium azide and 50% glycerol.
Purification&Purity :Affinity Purified
Storage&Stability :Store at 4°C short term. Aliquot and store at -20°C long term. Avoid freeze-thaw cycles.
Specificity :IgG
BiowMW :Calculated MW: 23 kDa; Observed MW: 23 kDa
Note :For research use only, not for use in diagnostic procedure.
Alternative Name :BAK1; BAK; BCL2L7; CDN1; Bcl-2 homologous antagonist/killer; Apoptosis regulator BAK; Bcl-2-like protein 7; Bcl2-L-7
Immunogen :A synthesized peptide derived from human Bak
Conjugate :Unconjugated
Modification :Unmodified
Western blot analysis of Bak in HeLa lysates using Bak antibody.
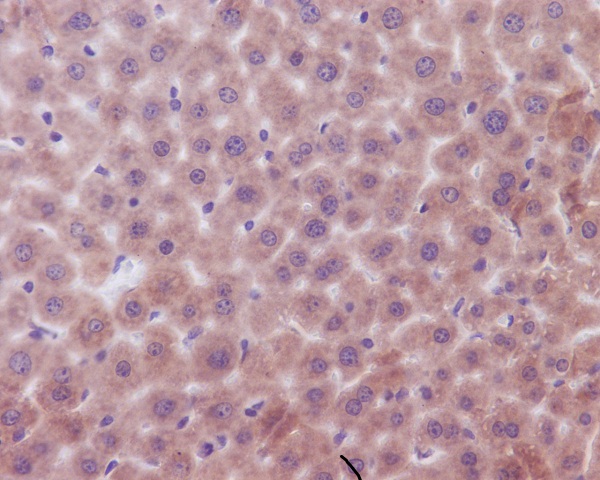
Immunohistochemistry analysis of paraffin-embedded mouse liver using Bak antibody.High-pressure and temperature Sodium Citrate pH 6.0 was used for antigen retrieval.
Immunofluorescence analysis of Bak in Hela using Bak antibody.

关注我们

400-660-9091

电话:025-68037686

地址:江苏生命科技创新园F6幢1层

订购:nanjing03@biogot.com

服务:biorase01@biogot.com

合作:lvyun@biogot.com

支持:may@biogot.com