中国 EN 400-660-9091

联系我们

电话:025-68037686

地址:江苏生命科技创新园F6幢1层

订购:nanjing03@biogot.com

服务:biorase01@biogot.com

合作:lvyun@biogot.com

支持:may@biogot.com

SHP1 polyclonal antibody

货号: BZ16589
价格 1140
货期 现货(1-2个工作日)
25ul 50ul 100ul 200ul
No. :BZ16589
Product Name :SHP1 polyclonal antibody
Swiss-Prot :P29350
Host :Rabbit
Reactivity :Human,Mouse,Rat
Applications :WB,IHC-P
Application_all :WB: 1/500-1/1000 IHC: 1/50-1/100
Background :The protein encoded by this gene is a member of the protein tyrosine phosphatase (PTP) family. PTPs are known to be signaling molecules that regulate a variety of cellular processes including cell growth, differentiation, mitotic cycle, and oncogenic transformation.
Product :Rabbit IgG in phosphate buffered saline , pH 7.4, 150mM NaCl, 0.02% sodium azide and 50% glycerol.
Purification&Purity :Affinity Purified
Storage&Stability :Store at 4°C short term. Aliquot and store at -20°C long term. Avoid freeze-thaw cycles.
Specificity :IgG
BiowMW :Calculated MW: 68 kDa; Observed MW: 68 kDa
Note :For research use only, not for use in diagnostic procedure.
Alternative Name :PTPN6; HCP; PTP1C; Tyrosine-protein phosphatase non-receptor type 6; Hematopoietic cell protein-tyrosine phosphatase; Protein-tyrosine phosphatase 1C; PTP-1C; Protein-tyrosine phosphatase SHP-1; SH-PTP1
Immunogen :A synthesized peptide derived from human SHP1
Conjugate :Unconjugated
Modification :Unmodified
Western blot analysis of SHP1 in Jurkat lysates using SHP1 antibody.
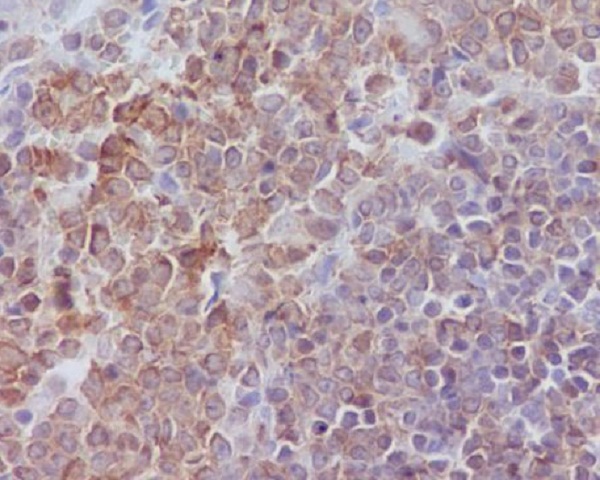
Immunohistochemistry analysis of paraffin-embedded rat spleen using SHP1 antibody.High-pressure and temperature Sodium Citrate pH 6.0 was used for antigen retrieval.

关注我们

400-660-9091

电话:025-68037686

地址:江苏生命科技创新园F6幢1层

订购:nanjing03@biogot.com

服务:biorase01@biogot.com

合作:lvyun@biogot.com

支持:may@biogot.com