中国 EN 400-660-9091

联系我们

电话:025-68037686

地址:江苏生命科技创新园F6幢1层

订购:nanjing03@biogot.com

服务:biorase01@biogot.com

合作:lvyun@biogot.com

支持:may@biogot.com

Phospho-PAK1/2/3 (Ser144/Ser141/Ser154) polyclonal antibody

货号: BZ16586
价格 1350
货期 现货(1-2个工作日)
25ul 50ul 100ul 200ul
No. :BZ16586
Product Name :Phospho-PAK1/2/3 (Ser144/Ser141/Ser154) polyclonal antibody
Swiss-Prot :O75914/Q13153/Q13177
Host :Rabbit
Reactivity :Human,Mouse,Rat
Applications :WB,IHC-P,ICC/IF,IP,FC
Application_all :WB: 1/500-1/1000 IHC: 1/50-1/100 IF: 1/50-1/200 IP: 1/20 FC: 1/50-1/100
Background :PAK proteins are critical effectors that link RhoGTPases to cytoskeleton reorganization and nuclear signaling. PAK proteins, a family of serine/threonine p21-activating kinases, include PAK1, PAK2, PAK3 and PAK4.
Product :Rabbit IgG in phosphate buffered saline , pH 7.4, 150mM NaCl, 0.02% sodium azide and 50% glycerol.
Purification&Purity :Affinity Purified
Storage&Stability :Store at 4°C short term. Aliquot and store at -20°C long term. Avoid freeze-thaw cycles.
Specificity :IgG
BiowMW :Calculated MW: 61 kDa; Observed MW: 65 kDa
Note :For research use only, not for use in diagnostic procedure.
Alternative Name :ADRB2; Alpha-PAK; CDC42/RAC effector kinase PAK-A; EC 2.7.11.1; P65-PAK; P68-PAK; PAK1 (phospho S144); PAK2 (phospho S141); PAK3 (phospho S154)
Immunogen :A synthesized peptide derived from human Phospho-PAK1/2/3 (S144+S141+S139)
Conjugate :Unconjugated
Modification :Phosphorylated
Western blot analysis of Phospho-PAK1/2/3 in HeLa lysates treated with lambda phosphatase using Phospho-PAK1/2/3 antibody.
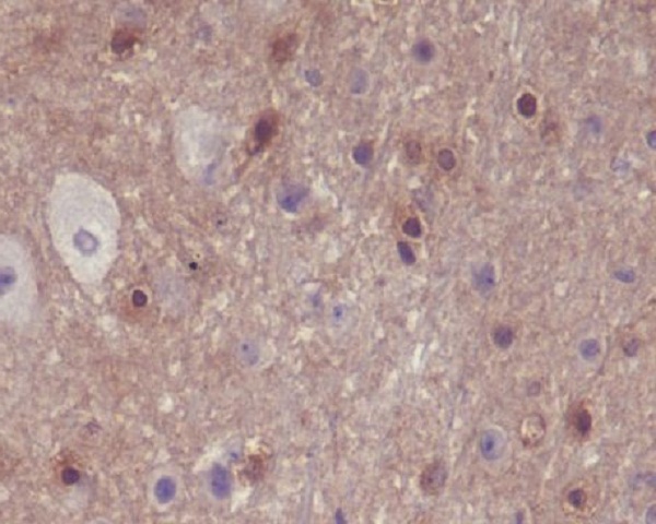
Immunohistochemistry analysis of paraffin-embedded mouse brain using Phospho-PAK1/2/3 antibody.High-pressure and temperature Sodium Citrate pH 6.0 was used for antigen retrieval.

关注我们

400-660-9091

电话:025-68037686

地址:江苏生命科技创新园F6幢1层

订购:nanjing03@biogot.com

服务:biorase01@biogot.com

合作:lvyun@biogot.com

支持:may@biogot.com