中国 EN 400-660-9091

联系我们

电话:025-68037686

地址:江苏生命科技创新园F6幢1层

订购:nanjing03@biogot.com

服务:biorase01@biogot.com

合作:lvyun@biogot.com

支持:may@biogot.com

Nibrin polyclonal antibody

货号: BZ16581
价格 1140
货期 现货(1-2个工作日)
25ul 50ul 100ul 200ul
No. :BZ16581
Product Name :Nibrin polyclonal antibody
Swiss-Prot :O60934
Host :Rabbit
Reactivity :Human,Mouse,Rat
Applications :WB,IHC-P,ICC/IF,IP,FC
Application_all :WB: 1/500-1/1000 IHC: 1/50-1/100 IF: 1/50-1/200 IP: 1/20 FC: 1/50-1/100
Background :NBS1 is a member of the MRE11/RAD50 double-strand break repair complex. Involved in DNA double-strand break repair and DNA damage-induced checkpoint activation. Mutation results in the Nijmegen breakage syndrome (NBS), an autosomal recessive chromosomal instability syndrome.
Product :Rabbit IgG in phosphate buffered saline , pH 7.4, 150mM NaCl, 0.02% sodium azide and 50% glycerol.
Purification&Purity :Affinity Purified
Storage&Stability :Store at 4°C short term. Aliquot and store at -20°C long term. Avoid freeze-thaw cycles.
Specificity :IgG
BiowMW :Calculated MW: 85 kDa; Observed MW: 95 kDa
Note :For research use only, not for use in diagnostic procedure.
Alternative Name :NBN; NBS; NBS1; P95; Nibrin; Cell cycle regulatory protein p95; Nijmegen breakage syndrome protein 1
Immunogen :A synthesized peptide derived from human p95/NBS1
Conjugate :Unconjugated
Modification :Unmodified
Western blot analysis of p95/NBS1 in HeLa lysates using Nibrin antibody.
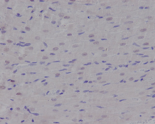
Immunohistochemistry analysis of paraffin-embedded rat heart using p95/NBS1 antibody.High-pressure and temperature Sodium Citrate pH 6.0 was used for antigen retrieval.

关注我们

400-660-9091

电话:025-68037686

地址:江苏生命科技创新园F6幢1层

订购:nanjing03@biogot.com

服务:biorase01@biogot.com

合作:lvyun@biogot.com

支持:may@biogot.com