中国 EN 400-660-9091

联系我们

电话:025-68037686

地址:江苏生命科技创新园F6幢1层

订购:nanjing03@biogot.com

服务:biorase01@biogot.com

合作:lvyun@biogot.com

支持:may@biogot.com

Thrombomodulin polyclonal antibody

货号: BZ16579
价格 1140
货期 现货(1-2个工作日)
25ul 50ul 100ul 200ul
No. :BZ16579
Product Name :Thrombomodulin polyclonal antibody
Swiss-Prot :P07204
Host :Rabbit
Reactivity :Human
Applications :WB,IHC-P,ICC/IF,IP
Application_all :WB: 1/500-1/1000 IHC: 1/50-1/100 IF: 1/50-1/200 IP: 1/20
Background :Thrombomodulin (TM), also called CD141, is a type I membrane receptor that is specific to endothelial cells. TM has a cysteine-rich extracellular domain with six EGF-like regions. It forms a complex with Thrombin, which activates Protein C to generate activated Protein C (APC), an anticoagulant enzyme. APC together with Protein S inhibits coagulation by inactivating Factors Va and VIIIa. Deletion of the TM gene results in embryonic lethality in mice.
Product :Rabbit IgG in phosphate buffered saline , pH 7.4, 150mM NaCl, 0.02% sodium azide and 50% glycerol.
Purification&Purity :Affinity Purified
Storage&Stability :Store at 4°C short term. Aliquot and store at -20°C long term. Avoid freeze-thaw cycles.
Specificity :IgG
BiowMW :Calculated MW: 60 kDa; Observed MW: 60 kDa
Note :For research use only, not for use in diagnostic procedure.
Alternative Name :CD141; Fetomodulin; THBD; THRM; thrombomodulin; TM
Immunogen :A synthesized peptide derived from human Thrombomodulin
Conjugate :Unconjugated
Modification :Unmodified
Western blot analysis of Thrombomodulin in Human placenta lysates using Thrombomodulin antibody.
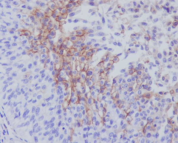
Immunohistochemistry analysis of paraffin-embedded Human bladder using Thrombomodulin antibody.High-pressure and temperature Sodium Citrate pH 6.0 was used for antigen retrieval.

关注我们

400-660-9091

电话:025-68037686

地址:江苏生命科技创新园F6幢1层

订购:nanjing03@biogot.com

服务:biorase01@biogot.com

合作:lvyun@biogot.com

支持:may@biogot.com