中国 EN 400-660-9091

联系我们

电话:025-68037686

地址:江苏生命科技创新园F6幢1层

订购:nanjing03@biogot.com

服务:biorase01@biogot.com

合作:lvyun@biogot.com

支持:may@biogot.com

HDAC1 polyclonal antibody

货号: BZ16560
价格 1140
货期 现货(1-2个工作日)
25ul 50ul 100ul 200ul
No. :BZ16560
Product Name :HDAC1 polyclonal antibody
Swiss-Prot :Q13547
Host :Rabbit
Reactivity :Human,Mouse,Rat
Applications :WB,IHC-P,ICC/IF
Application_all :WB: 1/500-1/1000 IHC: 1/50-1/100 IF: 1/50-1/200
Background :HDAC1 a transcriptional regulator of the histone deacetylase family, subfamily 1. Deacetylates lysine residues on the N-terminal part of the core histones H2A, H2B, H3 AND H4. Plays an important role in transcriptional regulation, cell cycle progression and developmental events.
Product :Rabbit IgG in phosphate buffered saline , pH 7.4, 150mM NaCl, 0.02% sodium azide and 50% glycerol.
Purification&Purity :Affinity Purified
Storage&Stability :Store at 4°C short term. Aliquot and store at -20°C long term. Avoid freeze-thaw cycles.
Specificity :IgG
BiowMW :Calculated MW: 55 kDa; Observed MW: 55 kDa
Note :For research use only, not for use in diagnostic procedure.
Alternative Name :HDAC1; RPD3L1; Histone deacetylase 1; HD1
Immunogen :A synthesized peptide derived from human HDAC1
Conjugate :Unconjugated
Modification :Unmodified
Western blot analysis of HDAC1 in C6 lysates; NIH/3T3 lysates using HDAC1 antibody.
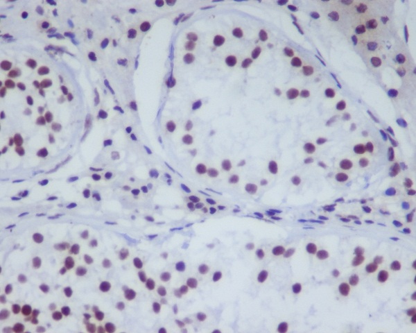
Immunohistochemistry analysis of paraffin-embedded Human testis using HDAC1 antibody.High-pressure and temperature Sodium Citrate pH 6.0 was used for antigen retrieval.

关注我们

400-660-9091

电话:025-68037686

地址:江苏生命科技创新园F6幢1层

订购:nanjing03@biogot.com

服务:biorase01@biogot.com

合作:lvyun@biogot.com

支持:may@biogot.com