中国 EN 400-660-9091

联系我们

电话:025-68037686

地址:江苏生命科技创新园F6幢1层

订购:nanjing03@biogot.com

服务:biorase01@biogot.com

合作:lvyun@biogot.com

支持:may@biogot.com

KDEL polyclonal antibody

货号: BZ16559
价格 1140
货期 现货(1-2个工作日)
25ul 50ul 100ul 200ul
No. :BZ16559
Product Name :KDEL polyclonal antibody
Swiss-Prot :P24390
Host :Rabbit
Reactivity :Human,Mouse,Rat
Applications :WB,IHC-P,ICC/IF,FC
Application_all :WB: 1/500-1/1000 IHC: 1/50-1/100 IF: 1/50-1/200 FC: 1/50-1/100
Background :Determines the specificity of the luminal ER protein retention system.Required for the retention of luminal endoplasmic reticulum proteins. Determines the specificity of the luminal ER protein retention system. Also required for normal vesicular traffic through the Golgi. This receptor recognizes K-D-E-L.
Product :Rabbit IgG in phosphate buffered saline , pH 7.4, 150mM NaCl, 0.02% sodium azide and 50% glycerol.
Purification&Purity :Affinity Purified
Storage&Stability :Store at 4°C short term. Aliquot and store at -20°C long term. Avoid freeze-thaw cycles.
Specificity :IgG
BiowMW :Calculated MW: 25 kDa; Observed MW: 78KD kDa
Note :For research use only, not for use in diagnostic procedure.
Alternative Name :Lys-Asp-Glu-Leu (KDEL
Immunogen :A synthesized peptide derived from human KDEL
Conjugate :Unconjugated
Modification :Unmodified
Western blot analysis of KDEL in HeLa lysates using KDEL antibody.
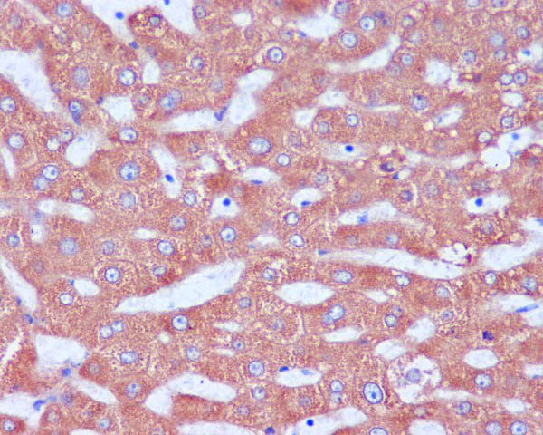
Immunohistochemistry analysis of paraffin-embedded Human liver using KDEL antibody.High-pressure and temperature Sodium Citrate pH 6.0 was used for antigen retrieval.

关注我们

400-660-9091

电话:025-68037686

地址:江苏生命科技创新园F6幢1层

订购:nanjing03@biogot.com

服务:biorase01@biogot.com

合作:lvyun@biogot.com

支持:may@biogot.com