中国 EN 400-660-9091

联系我们

电话:025-68037686

地址:江苏生命科技创新园F6幢1层

订购:nanjing03@biogot.com

服务:biorase01@biogot.com

合作:lvyun@biogot.com

支持:may@biogot.com

ALDH1A1 polyclonal antibody

货号: BZ16557
价格 1140
货期 现货(1-2个工作日)
25ul 50ul 100ul 200ul
No. :BZ16557
Product Name :ALDH1A1 polyclonal antibody
Swiss-Prot :P00352
Host :Rabbit
Reactivity :Human,Mouse,Rat
Applications :WB,IHC-P,ICC/IF,FC,IP
Application_all :WB: 1/500-1/1000 IHC: 1/50-1/100 IF: 1/50-1/200 IP: 1/20 FC: 1/50-1/100
Background :ALDH1A1 is a liver cytosolic isoform of acetaldehyde dehydrogenase and is involved in the major pathway of alcohol metabolism along with alcohol dehydrogenase . ALDH1A1 is also known as retinal dehydrogenase 1 and is involved in retinol metabolism, converting retinol to retinoic acid.
Product :Rabbit IgG in phosphate buffered saline , pH 7.4, 150mM NaCl, 0.02% sodium azide and 50% glycerol.
Purification&Purity :Affinity Purified
Storage&Stability :Store at 4°C short term. Aliquot and store at -20°C long term. Avoid freeze-thaw cycles.
Specificity :IgG
BiowMW :Calculated MW: 55 kDa; Observed MW: 55 kDa
Note :For research use only, not for use in diagnostic procedure.
Alternative Name :ALDH1A1; ALDC; ALDH1; PUMB1; Retinal dehydrogenase 1; RALDH 1; RalDH1; ALDH-E1; ALHDII; Aldehyde dehydrogenase family 1 member A1; Aldehyde dehydrogenase; cytosolic
Immunogen :A synthesized peptide derived from human ALDH1A1
Conjugate :Unconjugated
Modification :Unmodified
Western blot analysis of ALDH1A1 in HepG2 lysates using ALDH1A1 antibody.
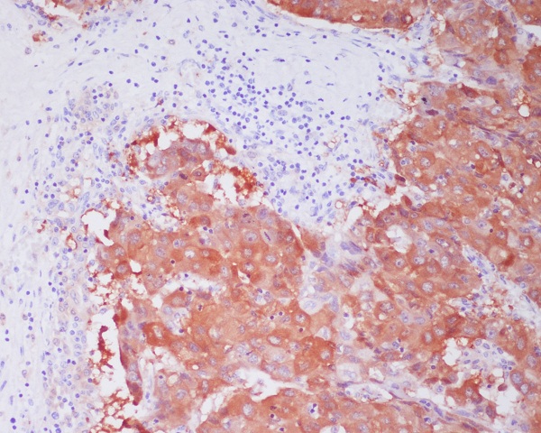
Immunohistochemistry analysis of paraffin-embedded Human liver cancer using ALDH1A1 antibody.High-pressure and temperature Sodium Citrate pH 6.0 was used for antigen retrieval.

关注我们

400-660-9091

电话:025-68037686

地址:江苏生命科技创新园F6幢1层

订购:nanjing03@biogot.com

服务:biorase01@biogot.com

合作:lvyun@biogot.com

支持:may@biogot.com