中国 EN 400-660-9091

联系我们

电话:025-68037686

地址:江苏生命科技创新园F6幢1层

订购:nanjing03@biogot.com

服务:biorase01@biogot.com

合作:lvyun@biogot.com

支持:may@biogot.com

DiMethyl-Histone H3 (Lys4) polyclonal antibody

货号: BZ16554
价格 1350
货期 现货(1-2个工作日)
25ul 50ul 100ul 200ul
No. :BZ16554
Product Name :DiMethyl-Histone H3 (Lys4) polyclonal antibody
Swiss-Prot :P68431
Host :Rabbit
Reactivity :Human,Mouse,Rat
Applications :WB,IHC-P,ICC/IF,IP,FC,ChIP
Application_all :WB: 1/500-1/1000 IHC: 1/50-1/100 IF: 1/50-1/200 IP: 1/20 FC: 1/50-1/100 ChIP: 1/20
Background :H3 Core component of nucleosome. Nucleosomes wrap and compact DNA into chromatin, limiting DNA accessibility to the cellular machineries which require DNA as a template. Histones thereby play a central role in transcription regulation, DNA repair, DNA replication and chromosomal stability.
Product :Rabbit IgG in phosphate buffered saline , pH 7.4, 150mM NaCl, 0.02% sodium azide and 50% glycerol.
Purification&Purity :Affinity Purified
Storage&Stability :Store at 4°C short term. Aliquot and store at -20°C long term. Avoid freeze-thaw cycles.
Specificity :IgG
BiowMW :Calculated MW: 15 kDa; Observed MW: 15 kDa
Note :For research use only, not for use in diagnostic procedure.
Alternative Name :H3K4me2; H3 histone; HIST1H3A; Histone cluster 1; H3a
Immunogen :A synthesized peptide derived from human Methyl-Histone H3 (di K4)
Conjugate :Unconjugated
Modification :Methylated
Western blot analysis of MethylHistone H3 in HeLa lysates using DiMethyl-Histone H3 antibody.
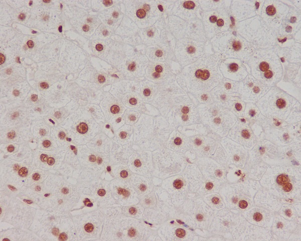
Immunohistochemistry analysis of paraffin-embedded Human liver using MethylHistone H3 antibody.High-pressure and temperature Sodium Citrate pH 6.0 was used for antigen retrieval.

关注我们

400-660-9091

电话:025-68037686

地址:江苏生命科技创新园F6幢1层

订购:nanjing03@biogot.com

服务:biorase01@biogot.com

合作:lvyun@biogot.com

支持:may@biogot.com