中国 EN 400-660-9091

联系我们

电话:025-68037686

地址:江苏生命科技创新园F6幢1层

订购:nanjing03@biogot.com

服务:biorase01@biogot.com

合作:lvyun@biogot.com

支持:may@biogot.com

ERK2 polyclonal antibody

货号: BZ16547
价格 1140
货期 现货(1-2个工作日)
25ul 50ul 100ul 200ul
No. :BZ16547
Product Name :ERK2 polyclonal antibody
Swiss-Prot :P28482
Host :Rabbit
Reactivity :Human,Mouse,Rat
Applications :WB,IHC-P,ICC/IF,IP,FC
Application_all :WB: 1/500-1/1000 IHC: 1/50-1/100 IF: 1/50-1/200 IP: 1/20 FC: 1/50-1/100
Background :Act as an integration point for multiple biochemical signals, and are involved in a wide variety of cellular processes such as proliferation, differentiation, transcription regulation and development. The activation of ERK2 requires its phosphorylation by upstream kinases. ERK2 is located in the cytoplasm of resting cells and translocates into the nucleus upon extracellular stimuli by active transport of a dimer. ERK2 is essential for placental development and ERK2 in the trophoblast compartment may be indispensable for the vascularization of the labyrinth.
Product :Rabbit IgG in phosphate buffered saline , pH 7.4, 150mM NaCl, 0.02% sodium azide and 50% glycerol.
Purification&Purity :Affinity Purified
Storage&Stability :Store at 4°C short term. Aliquot and store at -20°C long term. Avoid freeze-thaw cycles.
Specificity :IgG
BiowMW :Calculated MW: 41 kDa; Observed MW: 41 kDa
Note :For research use only, not for use in diagnostic procedure.
Alternative Name :ERK; p38; p40; p41; ERT1; MAPK2; PRKM1; P42MAPK; p41mapk; MAPK
Immunogen :A synthesized peptide derived from human ERK2
Conjugate :Unconjugated
Modification :Unmodified
Western blot analysis of ERK2 in A431 lysates; HeLa lysates using ERK2 antibody.
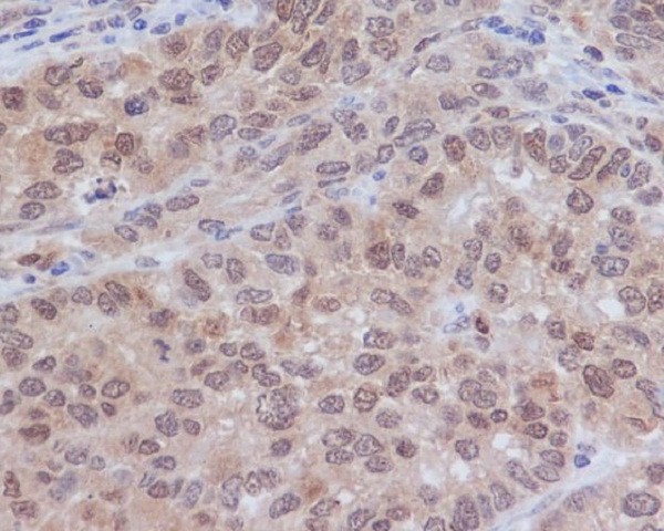
Immunohistochemistry analysis of paraffin-embedded Human gastric adenocarcinoma using ERK2 antibody.High-pressure and temperature Sodium Citrate pH 6.0 was used for antigen retrieval.

关注我们

400-660-9091

电话:025-68037686

地址:江苏生命科技创新园F6幢1层

订购:nanjing03@biogot.com

服务:biorase01@biogot.com

合作:lvyun@biogot.com

支持:may@biogot.com