中国 EN 400-660-9091

联系我们

电话:025-68037686

地址:江苏生命科技创新园F6幢1层

订购:nanjing03@biogot.com

服务:biorase01@biogot.com

合作:lvyun@biogot.com

支持:may@biogot.com

RhoA/B/C polyclonal antibody

货号: BZ16539
价格 1140
货期 现货(1-2个工作日)
25ul 50ul 100ul 200ul
No. :BZ16539
Product Name :RhoA/B/C polyclonal antibody
Swiss-Prot :P61586/P62745/P08134
Host :Rabbit
Reactivity :Human,Mouse,Rat
Applications :WB,IHC-P,ICC/IF,FC
Application_all :WB: 1/500-1/1000 IHC: 1/50-1/100 IF: 1/50-1/200 FC: 1/50-1/100
Background :RhoA,RhoB,RhoC is a small G protein of the Rho family. Regulates a signal transduction pathway linking plasma membrane receptors to the assembly of focal adhesions and actin stress fibers. The three mammalian Rho proteins (A, B and C) are approximately 30% homologous to Ras and are expressed in a wide range of cell types. Both Ras p21 and Rho p21, as well as other members of the Ras superfamily, contain a carboxy terminal CAAX sequence (C, cysteine; A, aliphatic amino acid; X, any amino acid) which in the case of Ras has been shown to be essential for correct localization and function.
Product :Rabbit IgG in phosphate buffered saline , pH 7.4, 150mM NaCl, 0.02% sodium azide and 50% glycerol.
Purification&Purity :Affinity Purified
Storage&Stability :Store at 4°C short term. Aliquot and store at -20°C long term. Avoid freeze-thaw cycles.
Specificity :IgG
BiowMW :Calculated MW: 22 kDa; Observed MW: 22 kDa
Note :For research use only, not for use in diagnostic procedure.
Alternative Name :ARH12; ARH6; ARH9; ARHA; ARHA2; H12; RHO12; Transforming protein RhoA; RHOA; RHOB; RHOC
Immunogen :A synthesized peptide derived from human Rho A + B + C
Conjugate :Unconjugated
Modification :Unmodified
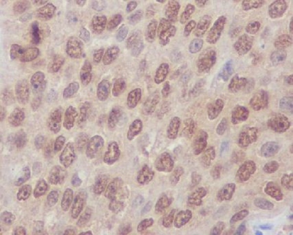
Immunohistochemistry analysis of paraffin-embedded Human lung carcinoma using Rho A + B + C antibody.High-pressure and temperature Sodium Citrate pH 6.0 was used for antigen retrieval.
Western blot analysis of Rho A + B + C in SH-SY5Y and rat Brain lysates using Rho A + B + C antibody.
Western blot analysis of Rho A + B + C expression in Jurkat lysates; NIH/3T3 lysates using RhoA/B/C antibody

关注我们

400-660-9091

电话:025-68037686

地址:江苏生命科技创新园F6幢1层

订购:nanjing03@biogot.com

服务:biorase01@biogot.com

合作:lvyun@biogot.com

支持:may@biogot.com