中国 EN 400-660-9091

联系我们

电话:025-68037686

地址:江苏生命科技创新园F6幢1层

订购:nanjing03@biogot.com

服务:biorase01@biogot.com

合作:lvyun@biogot.com

支持:may@biogot.com

RUNX polyclonal antibody

货号: BZ16537
价格 1140
货期 现货(1-2个工作日)
25ul 50ul 100ul 200ul
No. :BZ16537
Product Name :RUNX polyclonal antibody
Swiss-Prot :Q01196/Q13761/Q13950
Host :Rabbit
Reactivity :Human,Mouse,Rat
Applications :WB,IHC-P,ICC/IF,IP,FC
Application_all :WB: 1/500-1/1000 IHC: 1/50-1/100 IF: 1/50-1/200 IP: 1/20 FC: 1/50-1/100
Background :RUNX2 regulates the transcription of various genes including osteopontin, bone sialoprotein, and osteocalcin via binding to the core site of the enhancers or promoters.RUNX3/AML2 is a member of the Runt family of transcription factors. RUNX3 is important for the suppression of cell proliferation in the gastric epithelium, neurogenesis of the dorsal root ganglia, and T cell differentiation.
Product :Rabbit IgG in phosphate buffered saline , pH 7.4, 150mM NaCl, 0.02% sodium azide and 50% glycerol.
Purification&Purity :Affinity Purified
Storage&Stability :Store at 4°C short term. Aliquot and store at -20°C long term. Avoid freeze-thaw cycles.
Specificity :IgG
BiowMW :Calculated MW: 49 kDa; Observed MW: 49 kDa
Note :For research use only, not for use in diagnostic procedure.
Alternative Name :RUNX1; AML1; RUNX2; OSF2; RUNX3; CBFA3
Immunogen :A synthesized peptide derived from human RUNX1/RUNX2/RUNX3
Conjugate :Unconjugated
Modification :Unmodified
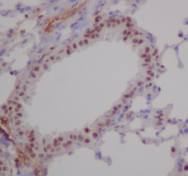
Immunohistochemistry analysis of paraffin-embedded mouse lung using RUNX1/RUNX2/RUNX3 antibody.High-pressure and temperature Sodium Citrate pH 6.0 was used for antigen retrieval.
Western blot analysis of RUNX1/RUNX2/RUNX3 in Raji and Jurkat lysates using RUNX1/RUNX2/RUNX3 antibody.

关注我们

400-660-9091

电话:025-68037686

地址:江苏生命科技创新园F6幢1层

订购:nanjing03@biogot.com

服务:biorase01@biogot.com

合作:lvyun@biogot.com

支持:may@biogot.com