中国 EN 400-660-9091

联系我们

电话:025-68037686

地址:江苏生命科技创新园F6幢1层

订购:nanjing03@biogot.com

服务:biorase01@biogot.com

合作:lvyun@biogot.com

支持:may@biogot.com

CaMKII polyclonal antibody

货号: BZ16536
价格 1140
货期 现货(1-2个工作日)
25ul 50ul 100ul 200ul
No. :BZ16536
Product Name :CaMKII polyclonal antibody
Swiss-Prot :Q13554
Host :Rabbit
Reactivity :Human,Mouse,Rat
Applications :WB,IHC-P,ICC/IF
Application_all :WB: 1/500-1/1000 IHC: 1/50-1/100 IF: 1/50-1/200
Background :CaM-kinase II (CAMK2) is a prominent kinase in the central nervous system that may function in long-term potentiation and neurotransmitter release. Member of the NMDAR signaling complex in excitatory synapses it may regulate NMDAR-dependent potentiation of the AMPAR and synaptic plasticity.
Product :Rabbit IgG in phosphate buffered saline , pH 7.4, 150mM NaCl, 0.02% sodium azide and 50% glycerol.
Purification&Purity :Affinity Purified
Storage&Stability :Store at 4°C short term. Aliquot and store at -20°C long term. Avoid freeze-thaw cycles.
Specificity :IgG
BiowMW :Calculated MW: 73 kDa; Observed MW: 45,60 kDa
Note :For research use only, not for use in diagnostic procedure.
Alternative Name :CAMK2B; CAM2; CAMK2; CAMKB; Calcium/calmodulin-dependent protein kinase type II subunit beta; CaM kinase II subunit beta; CaMK-II subunit beta; CAMK2G; CAMK; CAMK-II; CAMKG; Calcium/calmodulin-dependent protein kinase type II subunit gamma
Immunogen :A synthesized peptide derived from human CaMKII
Conjugate :Unconjugated
Modification :Unmodified
Western blot analysis of CaMKII in mouse brain lysates ;Rat brain lysates using CaMKII antibody.
Western blot analysis of CaMKII in SH-SY5Y, rat Brain, 3T3 and mouse Spleen lysates using CaMKII antibody.
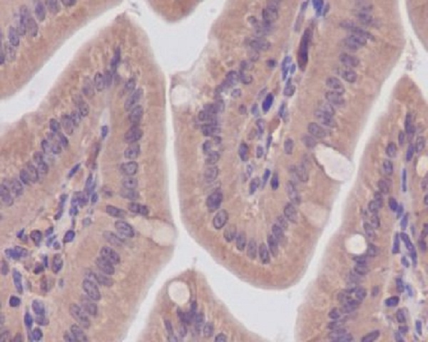
Immunohistochemistry analysis of paraffin-embedded mouse colon, using CaMKII antibody. High-pressure and temperature Sodium Citrate pH 6.0 was used for antigen retrieval.

关注我们

400-660-9091

电话:025-68037686

地址:江苏生命科技创新园F6幢1层

订购:nanjing03@biogot.com

服务:biorase01@biogot.com

合作:lvyun@biogot.com

支持:may@biogot.com