中国 EN 400-660-9091

联系我们

电话:025-68037686

地址:江苏生命科技创新园F6幢1层

订购:nanjing03@biogot.com

服务:biorase01@biogot.com

合作:lvyun@biogot.com

支持:may@biogot.com

SUMO1 polyclonal antibody

货号: BZ16534
价格 1140
货期 现货(1-2个工作日)
25ul 50ul 100ul 200ul
No. :BZ16534
Product Name :SUMO1 polyclonal antibody
Swiss-Prot :P63165
Host :Rabbit
Reactivity :Human,Mouse,Rat
Applications :WB,IHC-P,ICC/IF,IP,FC
Application_all :WB: 1/500-1/1000 IHC: 1/50-1/100 IF: 1/50-1/200 IP: 1/20 FC: 1/50-1/100
Background :SUMO1 Ubiquitin-like protein which can be covalently attached to target lysines as a monomer. Does not seem to be involved in protein degradation and may function as an antagonist of ubiquitin in the degradation process. Plays a role in a number of cellular processes such as nuclear transport, DNA replication and repair, mitosis and signal transduction.
Product :Rabbit IgG in phosphate buffered saline , pH 7.4, 150mM NaCl, 0.02% sodium azide and 50% glycerol.
Purification&Purity :Affinity Purified
Storage&Stability :Store at 4°C short term. Aliquot and store at -20°C long term. Avoid freeze-thaw cycles.
Specificity :IgG
BiowMW :Calculated MW: 12 kDa; Observed MW: 12 kDa
Note :For research use only, not for use in diagnostic procedure.
Alternative Name :SUMO1; SMT3C; SMT3H3; UBL1; OK/SW-cl.43; Small ubiquitin-related modifier 1; SUMO-1; GAP-modifying protein 1; GMP1; SMT3 homolog 3; Sentrin; Ubiquitin-homology domain protein PIC1; Ubiquitin-like protein SMT3C; Smt3C; Ubiquitin-like protein
Immunogen :A synthesized peptide derived from human Sumo 1
Conjugate :Unconjugated
Modification :Unmodified
Western blot analysis of SUMO1 in HeLa lysates; NIH/3T3 lysates using SUMO1 antibody.
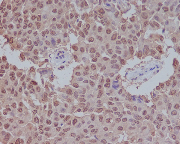
Immunohistochemistry analysis of paraffin-embedded Human breast carcinoma using Sumo 1 antibody.High-pressure and temperature Sodium Citrate pH 6.0 was used for antigen retrieval.

关注我们

400-660-9091

电话:025-68037686

地址:江苏生命科技创新园F6幢1层

订购:nanjing03@biogot.com

服务:biorase01@biogot.com

合作:lvyun@biogot.com

支持:may@biogot.com