中国 EN 400-660-9091

联系我们

电话:025-68037686

地址:江苏生命科技创新园F6幢1层

订购:nanjing03@biogot.com

服务:biorase01@biogot.com

合作:lvyun@biogot.com

支持:may@biogot.com

SNAI2 polyclonal antibody

货号: BZ16516
价格 1140
货期 现货(1-2个工作日)
25ul 50ul 100ul 200ul
No. :BZ16516
Product Name :SNAI2 polyclonal antibody
Swiss-Prot :O43623
Host :Rabbit
Reactivity :Human,Mouse,Rat
Applications :WB,IHC-P,ICC/IF
Application_all :WB: 1/500-1/1000 IHC: 1/50-1/100 IF: 1/50-1/200
Background :This gene encodes a member of the Snail family of C2H2-type zinc finger transcription factors. The encoded protein acts as a transcriptional repressor that binds to E-box motifs and is also likely to repress E-cadherin transcription in breast carcinoma. This protein is involved in epithelial-mesenchymal transitions and has antiapoptotic activity. Mutations in this gene may be associated with sporatic cases of neural tube defects.
Product :Liquid in PBS containing 50% glycerol, 0.5% BSA and 0.02% sodium azide, pH 7.3.
Purification&Purity :Affinity Purified
Storage&Stability :Store at 4°C short term. Aliquot and store at -20°C long term. Avoid freeze-thaw cycles.
Specificity :IgG
BiowMW :Calculated MW: 30 kDa; Observed MW: 30 kDa
Note :For research use only, not for use in diagnostic procedure.
Alternative Name :SNAI2; SLUG; SLUGH; Zinc finger protein SNAI2; Neural crest transcription factor Slug; Protein snail homolog 2
Immunogen :Recombinant Protein of SLUG
Conjugate :Unconjugated
Modification :Unmodified
Western blot analysis of SNAI2 in MCF-7, mouse Heart, rat Heart, rat Brain lysates using SNAI2 antibody.
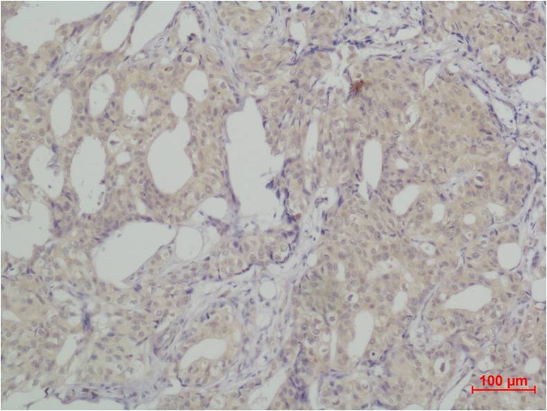
Immunohistochemistry analysis of paraffin-embedded Human Breast caricnoma using SNAI2 antibody High-pressure and temperature Sodium Citrate pH 6.0 was used for antigen retrieval.

关注我们

400-660-9091

电话:025-68037686

地址:江苏生命科技创新园F6幢1层

订购:nanjing03@biogot.com

服务:biorase01@biogot.com

合作:lvyun@biogot.com

支持:may@biogot.com