中国 EN 400-660-9091

联系我们

电话:025-68037686

地址:江苏生命科技创新园F6幢1层

订购:nanjing03@biogot.com

服务:biorase01@biogot.com

合作:lvyun@biogot.com

支持:may@biogot.com

Phospho-Artemis (Ser516) polyclonal antibody

货号: BZ16478
价格 1350
货期 现货(1-2个工作日)
25ul 50ul 100ul 200ul
No. :BZ16478
Product Name :Phospho-Artemis (Ser516) polyclonal antibody
Swiss-Prot :Q96SD1
Host :Rabbit
Reactivity :Human,Mouse
Applications :WB,IHC-P,ELISA
Application_all :WB: 1/500-1/1000 IHC: 1/50-1/100 ELISA: 1/10000
Background :Required for V(D)J recombination, the process by which exons encoding the antigen-binding domains of immunoglobulins and T-cell receptor proteins are assembled from individual V, (D), and J gene segments. V(D)J recombination is initiated by the lymphoid specific RAG endonuclease complex, which generates site specific DNA double strand breaks (DSBs). These DSBs present two types of DNA end structures: hairpin sealed coding ends and phosphorylated blunt signal ends. These ends are independently repaired by the non homologous end joining (NHEJ) pathway to form coding and signal joints respectively. This protein exhibits single-strand specific 5'-3' exonuclease activity in isolation and acquires endonucleolytic activity on 5' and 3' hairpins and overhangs when in a complex with PRKDC. The latter activity is required specifically for the resolution of closed hairpins prior to the formation of the coding joint. May also be required for the repair of complex DSBs induced by ionizing radiation, which require substantial end-processing prior to religation by NHEJ.
Product :Liquid in PBS containing 50% glycerol, 0.5% BSA and 0.02% sodium azide, pH 7.3.
Purification&Purity :Affinity Purified
Storage&Stability :Store at 4°C short term. Aliquot and store at -20°C long term. Avoid freeze-thaw cycles.
Specificity :IgG
BiowMW :Calculated MW: 78 kDa; Observed MW: 78 kDa
Note :For research use only, not for use in diagnostic procedure.
Alternative Name :SCIDA; SNM1C; A-SCID; RS-SCID; DCLREC1C
Immunogen :The antiserum was produced against synthesized peptide derived from human Artemis around the phosphorylation site of Ser516. AA range:482-531
Conjugate :Unconjugated
Modification :Phosphorylated
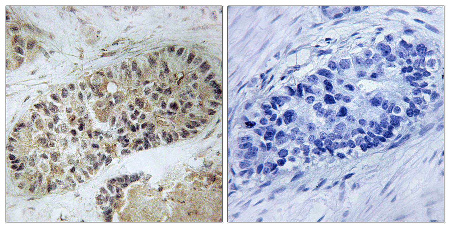
Immunohistochemistry analysis of paraffin-embedded Human lung carcinoma, using Phospho-Artemis antibody.High-pressure and temperature Sodium Citrate pH 6.0 was used for antigen retrieval.Sample with blocking peptide on the right.
Western blot analysis of Phospho-Artemis in HepG2 cells treated with EGF , using Phospho-Artemis antibody.The lane on the right is blocked with the Phospho- peptide.

关注我们

400-660-9091

电话:025-68037686

地址:江苏生命科技创新园F6幢1层

订购:nanjing03@biogot.com

服务:biorase01@biogot.com

合作:lvyun@biogot.com

支持:may@biogot.com