中国 EN 400-660-9091

联系我们

电话:025-68037686

地址:江苏生命科技创新园F6幢1层

订购:nanjing03@biogot.com

服务:biorase01@biogot.com

合作:lvyun@biogot.com

支持:may@biogot.com

Phospho-IKK beta (Tyr188) polyclonal antibody

货号: BZ16477
价格 1350
货期 现货(1-2个工作日)
25ul 50ul 100ul 200ul
No. :BZ16477
Product Name :Phospho-IKK beta (Tyr188) polyclonal antibody
Swiss-Prot :O14920
Host :Rabbit
Reactivity :Human,Mouse,Rat,Monkey
Applications :WB,IHC-P,ELISA
Application_all :WB: 1/500-1/1000 IHC: 1/50-1/100 ELISA: 1/10000
Background :The NF-κB/Rel transcription factors are present in the cytosol in an inactive state, complexed with the inhibitory IκB proteins (1-3). Most agents that activate NF-κB do so through a common pathway based on phosphorylation-induced, proteasome-mediated degradation of IκB (3-7). The key regulatory step in this pathway involves activation of a high molecular weight IκB kinase (IKK) complex whose catalysis is generally carried out by three tightly associated IKK subunits.
Product :Liquid in PBS containing 50% glycerol, 0.5% BSA and 0.02% sodium azide, pH 7.3.
Purification&Purity :Affinity Purified
Storage&Stability :Store at 4°C short term. Aliquot and store at -20°C long term. Avoid freeze-thaw cycles.
Specificity :IgG
BiowMW :Calculated MW: 87 kDa; Observed MW: 87 kDa
Note :For research use only, not for use in diagnostic procedure.
Alternative Name :IKBKB; IKKB; Inhibitor of nuclear factor kappa-B kinase subunit beta; I-kappa-B-kinase beta; IKK-B; IKK-beta; IkBKB; I-kappa-B kinase 2; IKK2; Nuclear factor NF-kappa-B inhibitor kinase beta; NFKBIKB
Immunogen :The antiserum was produced against synthesized peptide derived from human IKK-beta around the phosphorylation site of Tyr188. AA range:161-210
Conjugate :Unconjugated
Modification :Phosphorylated
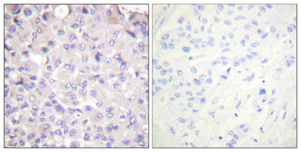
Immunohistochemistry analysis of paraffin-embedded Human breast cancer using Phospho-IKK beta antibody.High-pressure and temperature Tris-EDTA pH 8.0 was used for antigen retrieval.Sample with blocking peptide on the right.
EnzymeLinked Immunosorbent Assay for Immunogen Phospho-peptide and NonPhospho-peptide , using IKKbeta (Phospho-Tyr18antibody

关注我们

400-660-9091

电话:025-68037686

地址:江苏生命科技创新园F6幢1层

订购:nanjing03@biogot.com

服务:biorase01@biogot.com

合作:lvyun@biogot.com

支持:may@biogot.com