中国 EN 400-660-9091

联系我们

电话:025-68037686

地址:江苏生命科技创新园F6幢1层

订购:nanjing03@biogot.com

服务:biorase01@biogot.com

合作:lvyun@biogot.com

支持:may@biogot.com

Phospho-PKA alpha/beta/gamma (Thr197) polyclonal antibody

货号: BZ16474
价格 1350
货期 现货(1-2个工作日)
25ul 50ul 100ul 200ul
No. :BZ16474
Product Name :Phospho-PKA alpha/beta/gamma (Thr197) polyclonal antibody
Swiss-Prot :P17612/P22694/P22612
Host :Rabbit
Reactivity :Human,Mouse,Rat
Applications :WB,IHC-F,IHC-P,ICC/IF,ELISA
Application_all :WB: 1/500-1/1000 IHC: 1/50-1/100 IF: 1/50-1/200 ELISA: 1/10000
Background :PRKACA (protein kinase cAMP-activated catalytic subunit alpha) encodes one of the catalytic subunits of protein kinase A, which exists as a tetrameric holoenzyme with two regulatory subunits and two catalytic subunits, in its inactive form. cAMP causes the dissociation of the inactive holoenzyme into a dimer of regulatory subunits bound to four cAMP and two free monomeric catalytic subunits. Four different regulatory subunits and three catalytic subunits have been identified in humans. cAMP-dependent phosphorylation of proteins by protein kinase A is important to many cellular processes, including differentiation, proliferation, and apoptosis. Constitutive activation of this gene caused either by somatic mutations, or genomic duplications of regions that include this gene, have been associated with hyperplasias and adenomas of the adrenal cortex and are linked to corticotropin-independent Cushing's syndrome. Alternative splicing results in multiple transcript variants encoding different isoforms. Tissue-specific isoforms that differ at the N-terminus have been described, and these isoforms may differ in the post-translational modifications that occur at the N-terminus of some isoforms.
Product :Liquid in PBS containing 50% glycerol, 0.5% BSA and 0.02% sodium azide, pH 7.3.
Purification&Purity :Affinity Purified
Storage&Stability :Store at 4°C short term. Aliquot and store at -20°C long term. Avoid freeze-thaw cycles.
Specificity :IgG
BiowMW :Calculated MW: 40 kDa; Observed MW: 40 kDa
Note :For research use only, not for use in diagnostic procedure.
Alternative Name :PRKACA; PKACA; cAMP-dependent protein kinase catalytic subunit alpha; PKA C-alpha; PRKACB; cAMP-dependent protein kinase catalytic subunit beta; PKA C-beta; PRKACG; cAMP-dependent protein kinase catalytic subunit gamma; PKA C-gamma
Immunogen :The antiserum was produced against synthesized peptide derived from human PKA CAT around the phosphorylation site of Thr197. AA range:166-215
Conjugate :Unconjugated
Modification :Phosphorylated
EnzymeLinked Immunosorbent Assay for Immunogen Phospho-peptide and NonPhospho-peptide , using PKA CAT (Phospho-Thr19antibody
Immunofluorescence analysis of Phospho-PKA alpha/beta/gamma in A549 using Phospho-PKA alpha/beta/gamma antibody. The picture on the right is blocked with the Phospho- peptide.
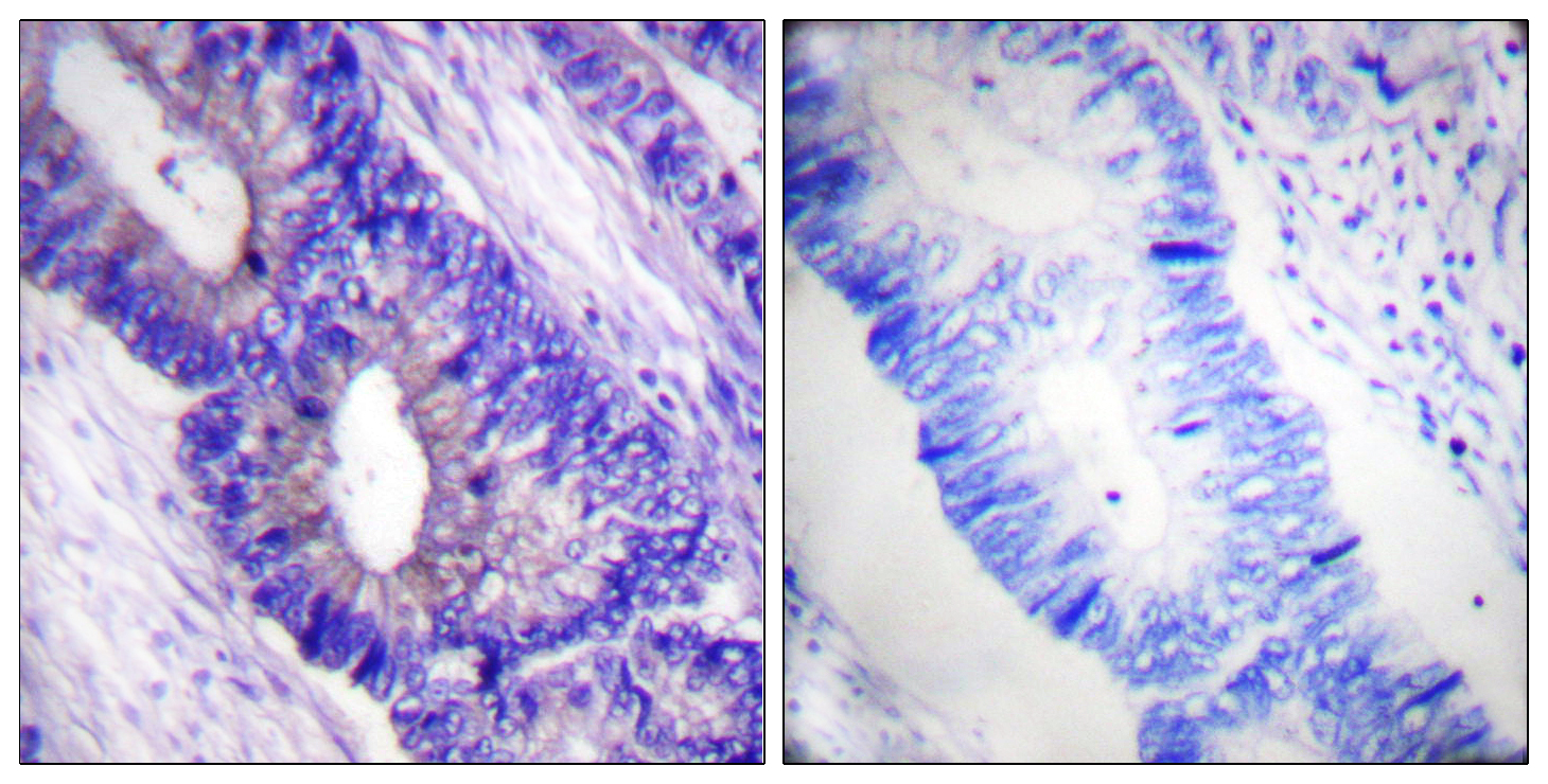
Immunohistochemistry analysis of paraffin-embedded Human colon carcinoma using Phospho-PKA alpha/beta/gamma antibody. High-pressure and temperature Sodium Citrate pH 6.0 was used for antigen retrieval.Sample with blocking peptide on the right.

关注我们

400-660-9091

电话:025-68037686

地址:江苏生命科技创新园F6幢1层

订购:nanjing03@biogot.com

服务:biorase01@biogot.com

合作:lvyun@biogot.com

支持:may@biogot.com