中国 EN 400-660-9091

联系我们

电话:025-68037686

地址:江苏生命科技创新园F6幢1层

订购:nanjing03@biogot.com

服务:biorase01@biogot.com

合作:lvyun@biogot.com

支持:may@biogot.com

Raf1 polyclonal antibody

货号: BZ16471
价格 1140
货期 现货(1-2个工作日)
25ul 50ul 100ul 200ul
No. :BZ16471
Product Name :Raf1 polyclonal antibody
Swiss-Prot :P04049
Host :Rabbit
Reactivity :Human,Mouse,Rat
Applications :ICC/IF,WB,IHC-F,IHC-P,ELISA
Application_all :WB: 1/500-1/1000 IHC: 1/50-1/100 IF: 1/50-1/200 ELISA: 1/10000
Background :Raf-1 is a MAP kinase kinase kinase (MAP3K) which functions downstream of the Ras family of membrane associated GTPases to which it binds directly. Once activated Raf-1 can phosphorylate to activate the dual specificity protein kinases MEK1 and MEK2 which in turn phosphorylate to activate the serine/threonine specific protein kinases ERK1 and ERK2.
Product :Liquid in PBS containing 50% glycerol, 0.5% BSA and 0.02% sodium azide, pH 7.3.
Purification&Purity :Affinity Purified
Storage&Stability :Store at 4°C short term. Aliquot and store at -20°C long term. Avoid freeze-thaw cycles.
Specificity :IgG
BiowMW :Calculated MW: 73 kDa; Observed MW: 73 kDa
Note :For research use only, not for use in diagnostic procedure.
Alternative Name :RAF1; RAF; RAF proto-oncogene serine/threonine-protein kinase; Proto-oncogene c-RAF; cRaf; Raf-1
Immunogen :The antiserum was produced against synthesized peptide derived from human C-RAF. AA range:251-300
Conjugate :Unconjugated
Modification :Unmodified
Western blot analysis of Raf1 in HepG2 lysates using Raf1 antibody.
Western blot analysis of Raf1 in rat liver lysates using Raf1 antibody. The lane on the right is blocked with the synthesized peptide.
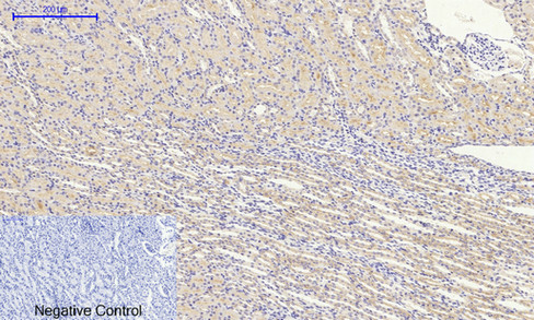
Immunohistochemistry analysis of paraffin-embedded rat kidney tissue using Raf1 antibody. High-pressure and temperature Sodium Citrate pH 6.0 was used for antigen retrieval.

关注我们

400-660-9091

电话:025-68037686

地址:江苏生命科技创新园F6幢1层

订购:nanjing03@biogot.com

服务:biorase01@biogot.com

合作:lvyun@biogot.com

支持:may@biogot.com