中国 EN 400-660-9091

联系我们

电话:025-68037686

地址:江苏生命科技创新园F6幢1层

订购:nanjing03@biogot.com

服务:biorase01@biogot.com

合作:lvyun@biogot.com

支持:may@biogot.com

IL-6 polyclonal antibody

货号: BZ16464
价格 1140
货期 现货(1-2个工作日)
25ul 50ul 100ul 200ul
No. :BZ16464
Product Name :IL-6 polyclonal antibody
Swiss-Prot :P05231
Host :Rabbit
Reactivity :Human
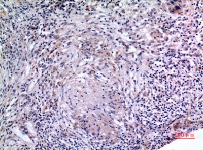
Applications :WB,IHC-P,ELISA
Application_all :WB: 1/500-1/1000 IHC: 1/50-1/100 ELISA: 1/10000
Background :Interleukine 6 (IL-6) is a cytokine produced primarily by stimulated monocytes, fibroblasts and epithelial cells. It has a wide variety of biological functions through activating a cellsurface signaling assembly composed of IL6, IL6RA, and the shared signaling receptor gp130. The cytokine plays an essential role in the final differentiation of b-cells into Igsecreting cells, and induces myeloma, plasmacytoma growth, nerve cells differentiations. In addition, IL-6 is an important regulator of acute phase reaction.
Product :Liquid in PBS containing 50% glycerol, 0.5% BSA and 0.02% sodium azide, pH 7.3.
Purification&Purity :Affinity Purified
Storage&Stability :Store at 4°C short term. Aliquot and store at -20°C long term. Avoid freeze-thaw cycles.
Specificity :IgG
BiowMW :Calculated MW: 24 kDa; Observed MW: 24 kDa
Note :For research use only, not for use in diagnostic procedure.
Alternative Name :IL6; IFNB2; Interleukin-6; IL-6; B-cell stimulatory factor 2; BSF-2; CTL differentiation factor; CDF; Hybridoma growth factor; Interferon beta-2; IFN-beta-2
Immunogen :The antiserum was produced against synthesized peptide derived from the Internal region of human IL6. AA range:131-180
Conjugate :Unconjugated
Modification :Unmodified
Western blot analysis of IL-6 in T47D, COS7 and Hela lysates using IL-6 antibody.
Western blot analysis of IL-6 in K562 lysates using IL-6 antibody.

关注我们

400-660-9091

电话:025-68037686

地址:江苏生命科技创新园F6幢1层

订购:nanjing03@biogot.com

服务:biorase01@biogot.com

合作:lvyun@biogot.com

支持:may@biogot.com