中国 EN 400-660-9091

联系我们

电话:025-68037686

地址:江苏生命科技创新园F6幢1层

订购:nanjing03@biogot.com

服务:biorase01@biogot.com

合作:lvyun@biogot.com

支持:may@biogot.com

Tau polyclonal antibody

货号: BZ16457
价格 1140
货期 现货(1-2个工作日)
25ul 50ul 100ul 200ul
No. :BZ16457
Product Name :Tau polyclonal antibody
Swiss-Prot :P10636
Host :Rabbit
Reactivity :Human,Mouse,Rat
Applications :WB,IHC-F,IHC-P,ICC/IF,ELISA
Application_all :WB: 1/500-1/1000 IHC: 1/50-1/100 IF: 1/50-1/200 ELISA: 1/10000
Background :This gene encodes the microtubule-associated protein tau (MAPT) whose transcript undergoes complex, regulated alternative splicing, giving rise to several mRNA species. MAPT transcripts are differentially expressed in the nervous system, depending on stage of neuronal maturation and neuron type.
Product :Liquid in PBS containing 50% glycerol, 0.5% BSA and 0.02% sodium azide, pH 7.3.
Purification&Purity :Affinity Purified
Storage&Stability :Store at 4°C short term. Aliquot and store at -20°C long term. Avoid freeze-thaw cycles.
Specificity :IgG
BiowMW :Calculated MW: 79 kDa; Observed MW: 79 kDa
Note :For research use only, not for use in diagnostic procedure.
Alternative Name :MAPT; MAPTL; MTBT1; TAU; Microtubule-associated protein tau; Neurofibrillary tangle protein; Paired helical filament-tau; PHF-tau
Immunogen :The antiserum was produced against synthesized peptide derived from human Tau. AA range:496-545
Conjugate :Unconjugated
Modification :Unmodified
Western blot analysis of Tau in various lysates using Tau antibody.
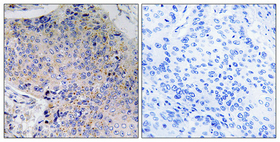
Immunohistochemistry analysis of paraffin-embedded Human lung cancer using Tau antibody.High-pressure and temperature Tris-EDTA pH 8.0 was used for antigen retrieval. Sample with blocking peptide on the right.

关注我们

400-660-9091

电话:025-68037686

地址:江苏生命科技创新园F6幢1层

订购:nanjing03@biogot.com

服务:biorase01@biogot.com

合作:lvyun@biogot.com

支持:may@biogot.com