中国 EN 400-660-9091

联系我们

电话:025-68037686

地址:江苏生命科技创新园F6幢1层

订购:nanjing03@biogot.com

服务:biorase01@biogot.com

合作:lvyun@biogot.com

支持:may@biogot.com

Laminin alpha 5 polyclonal antibody

货号: BZ16445
价格 1140
货期 现货(1-2个工作日)
25ul 50ul 100ul 200ul
No. :BZ16445
Product Name :Laminin alpha 5 polyclonal antibody
Swiss-Prot :O15230
Host :Rabbit
Reactivity :Human,Mouse
Applications :WB,IHC-P,ELISA
Application_all :WB: 1/500-1/1000 IHC: 1/50-1/100 ELISA: 1/10000
Background :Components of the extracellular matrix exert myriad effects on tissues throughout the body. In particular, the laminins, a family of heterotrimeric extracellular glycoproteins, affect tissue development and integrity in such diverse organs as the kidney, lung, skin, and nervous system. It is thought that laminins mediate the attachment, migration, and organization of cells into tissues during embryonic development by interacting with other extracellular matrix components. Laminins function as heterotrimeric complexes of alpha, beta, and gamma chains, with each chain type representing a different subfamily of proteins. The protein encoded by this gene belongs to the alpha subfamily of laminin chains and is a major component of basement membranes. Two transcript variants encoding different isoforms have been found for this gene, but the full-length nature of one of them has not been determined.
Product :Liquid in PBS containing 50% glycerol, 0.5% BSA and 0.02% sodium azide, pH 7.3.
Purification&Purity :Affinity Purified
Storage&Stability :Store at 4°C short term. Aliquot and store at -20°C long term. Avoid freeze-thaw cycles.
Specificity :IgG
BiowMW :Calculated MW: 400 kDa; Observed MW: 400 kDa
Note :For research use only, not for use in diagnostic procedure.
Alternative Name :Laminin-10 subunit alpha; Laminin-11 subunit alpha; Laminin-15 subunit alpha
Immunogen :The antiserum was produced against synthesized peptide derived from human LAMA5. AA range:2381-2430
Conjugate :Unconjugated
Modification :Unmodified
Western blot analysis of Laminin alpha 5 in RAW, HepG2, A549 lysates using Laminin alpha 5 antibody.
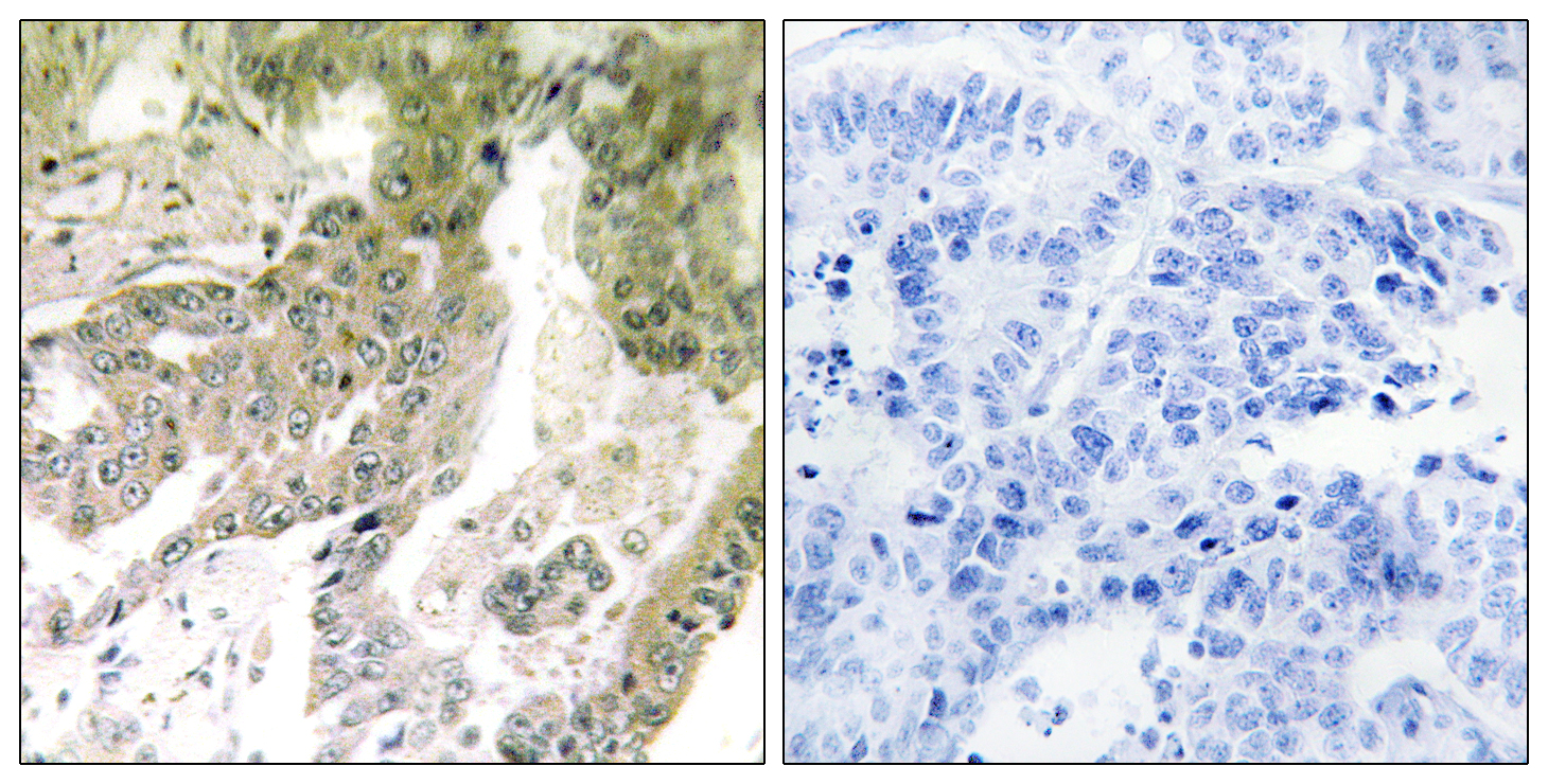
Immunohistochemistry analysis of paraffin-embedded Human lung carcinoma tissue, using LAMA5 antibody.High-pressure and temperature Sodium Citrate pH 6.0 was used for antigen retrieval. Sample with blocking peptide on the right.

关注我们

400-660-9091

电话:025-68037686

地址:江苏生命科技创新园F6幢1层

订购:nanjing03@biogot.com

服务:biorase01@biogot.com

合作:lvyun@biogot.com

支持:may@biogot.com