中国 EN 400-660-9091

联系我们

电话:025-68037686

地址:江苏生命科技创新园F6幢1层

订购:nanjing03@biogot.com

服务:biorase01@biogot.com

合作:lvyun@biogot.com

支持:may@biogot.com

IKK alpha/beta polyclonal antibody

货号: BZ16443
价格 1140
货期 现货(1-2个工作日)
25ul 50ul 100ul 200ul
No. :BZ16443
Product Name :IKK alpha/beta polyclonal antibody
Swiss-Prot :O15111/O14920
Host :Rabbit
Reactivity :Human,Mouse,Rat
Applications :WB,IHC-P,ELISA
Application_all :WB: 1/500-1/1000 IHC: 1/50-1/100 ELISA: 1/10000
Background :IKK-beta a kinase of the IKK family. Phosphorylates inhibitors of NF-kappa-B thus leading to the dissociation of the inhibitor/NF-kappa-B complex and ultimately the degradation of the inhibitor. Preferentially found as a heterodimer with IKK-alpha but also as an homodimer.
Product :Liquid in PBS containing 50% glycerol, 0.5% BSA and 0.02% sodium azide, pH 7.3.
Purification&Purity :Affinity Purified
Storage&Stability :Store at 4°C short term. Aliquot and store at -20°C long term. Avoid freeze-thaw cycles.
Specificity :IgG
BiowMW :Calculated MW: 85 kDa; Observed MW: 85 kDa
Note :For research use only, not for use in diagnostic procedure.
Alternative Name :CHUK; IKKA; TCF16; Inhibitor of nuclear factor kappa-B kinase subunit alpha; I-kappa-B kinase alpha; IKK-A; IKK-alpha; IkBKA; IkappaB kinase; Conserved helix-loop-helix ubiquitous kinase; I-kappa-B kinase 1; IKK1; Nuclear factor NF-kappa-B
Immunogen :The antiserum was produced against synthesized peptide derived from human IKK-alpha/beta. AA range:141-190
Conjugate :Unconjugated
Modification :Unmodified
Western blot analysis of IKK alpha/beta in HepG2 lysates using IKK alpha/beta antibody.
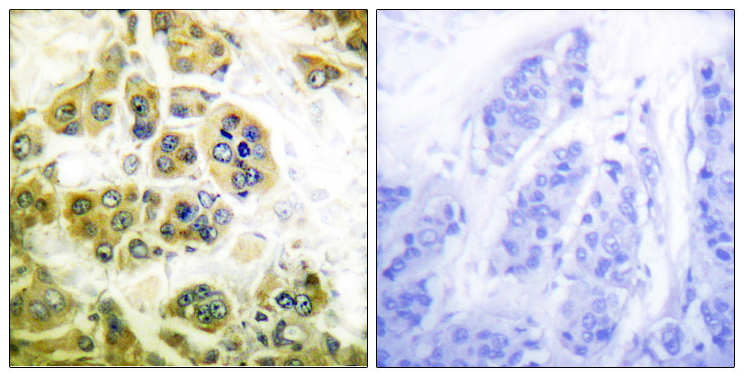
Immunohistochemistry analysis of paraffin-embedded Human breast carcinoma tissue, using IKKalpha/beta antibody.High-pressure and temperature Sodium Citrate pH 6.0 was used for antigen retrieval. Sample with blocking peptide on the right.
  • Yangke powder alleviates OVA-induced allergic asthma by inhibiting the PI3K/AKT/NF-κB signaling pathway
    JournalChinese Medicine
    ApplicationWB
    IF5.3
    SpeciesMouse

关注我们

400-660-9091

电话:025-68037686

地址:江苏生命科技创新园F6幢1层

订购:nanjing03@biogot.com

服务:biorase01@biogot.com

合作:lvyun@biogot.com

支持:may@biogot.com