中国 EN 400-660-9091

联系我们

电话:025-68037686

地址:江苏生命科技创新园F6幢1层

订购:nanjing03@biogot.com

服务:biorase01@biogot.com

合作:lvyun@biogot.com

支持:may@biogot.com

Hormone Sensitive Lipase polyclonal antibody

货号: BZ16442
价格 1140
货期 现货(1-2个工作日)
25ul 50ul 100ul 200ul
No. :BZ16442
Product Name :Hormone Sensitive Lipase polyclonal antibody
Swiss-Prot :Q05469
Host :Rabbit
Reactivity :Human,Mouse,Rat
Applications :WB,IHC-P,ELISA
Application_all :WB: 1/500-1/1000 IHC: 1/50-1/100 ELISA: 1/10000
Background :hormone sensitive lipase is a lipolytic enzyme of the 'GDXG' family. Plays a rate limiting step in triglyceride lipolysis. In adipose tissue and heart, it primarily hydrolyzes stored triglycerides to free fatty acids, while in steroidogenic tissues, it principally converts cholesteryl esters to free cholesterol for steroid hormone production.
Product :Liquid in PBS containing 50% glycerol, 0.5% BSA and 0.02% sodium azide, pH 7.3.
Purification&Purity :Affinity Purified
Storage&Stability :Store at 4°C short term. Aliquot and store at -20°C long term. Avoid freeze-thaw cycles.
Specificity :IgG
BiowMW :Calculated MW: 117 kDa; Observed MW: 120 kDa
Note :For research use only, not for use in diagnostic procedure.
Alternative Name :LIPE; Hormone-sensitive lipase; HSL
Immunogen :The antiserum was produced against synthesized peptide derived from human HSL. AA range:518-567
Conjugate :Unconjugated
Modification :Unmodified
Western blot analysis of Hormone Sensitive Lipase in various lysates using Hormone Sensitive Lipase antibody.
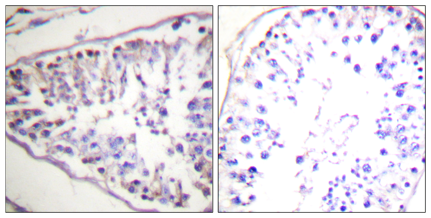
Immunohistochemistry analysis of paraffin-embedded Human tonsil tissue, using HSL antibody.High-pressure and temperature Sodium Citrate pH 6.0 was used for antigen retrieval. Sample with blocking peptide on the right.

关注我们

400-660-9091

电话:025-68037686

地址:江苏生命科技创新园F6幢1层

订购:nanjing03@biogot.com

服务:biorase01@biogot.com

合作:lvyun@biogot.com

支持:may@biogot.com