中国 EN 400-660-9091

联系我们

电话:025-68037686

地址:江苏生命科技创新园F6幢1层

订购:nanjing03@biogot.com

服务:biorase01@biogot.com

合作:lvyun@biogot.com

支持:may@biogot.com

c-Myc polyclonal antibody

货号: BZ16432
价格 1140
货期 现货(1-2个工作日)
25ul 50ul 100ul 200ul
No. :BZ16432
Product Name :c-Myc polyclonal antibody
Swiss-Prot :P01106
Host :Rabbit
Reactivity :Human,Mouse,Rat
Applications :WB,IHC-F,IHC-P,ICC/IF,ELISA
Application_all :WB: 1/500-1/1000 IHC: 1/50-1/100 IF: 1/50-1/200 ELISA: 1/10000
Background :Myc a proto-oncogenic transcription factor that plays a role in cell proliferation, apoptosis and in the development of human tumors.. Seems to activate the transcription of growth-related genes.
Product :Liquid in PBS containing 50% glycerol, 0.5% BSA and 0.02% sodium azide, pH 7.3.
Purification&Purity :Affinity Purified
Storage&Stability :Store at 4°C short term. Aliquot and store at -20°C long term. Avoid freeze-thaw cycles.
Specificity :IgG
BiowMW :Calculated MW: 49 kDa; Observed MW: 50-60 kDa
Note :For research use only, not for use in diagnostic procedure.
Alternative Name :MYC; BHLHE39; Myc proto-oncogene protein; Class E basic helix-loop-helix protein 39; bHLHe39; Proto-oncogene c-Myc; Transcription factor p64
Immunogen :The antiserum was produced against synthesized peptide derived from human MYC. AA range:386-435
Conjugate :Unconjugated
Modification :Unmodified
Western blot analysis of c-Myc in HuvEc lysates using c-Myc antibody.
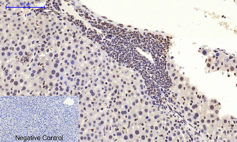
Immunohistochemistry analysis of paraffin-embedded mouse liver tissue using c-Myc antibody.High-pressure and temperature Sodium Citrate pH 6.0 was used for antigen retrieval.

关注我们

400-660-9091

电话:025-68037686

地址:江苏生命科技创新园F6幢1层

订购:nanjing03@biogot.com

服务:biorase01@biogot.com

合作:lvyun@biogot.com

支持:may@biogot.com