中国 EN 400-660-9091

联系我们

电话:025-68037686

地址:江苏生命科技创新园F6幢1层

订购:nanjing03@biogot.com

服务:biorase01@biogot.com

合作:lvyun@biogot.com

支持:may@biogot.com

CaMKII alpha/delta polyclonal antibody

货号: BZ16426
价格 1140
货期 现货(1-2个工作日)
25ul 50ul 100ul 200ul
No. :BZ16426
Product Name :CaMKII alpha/delta polyclonal antibody
Swiss-Prot :Q9UQM7/Q13557
Host :Rabbit
Reactivity :Human,Mouse,Rat
Applications :WB,IHC-F,IHC-P,ICC/IF,ELISA
Application_all :WB: 1/500-1/1000 IHC: 1/50-1/100 IF: 1/50-1/200 ELISA: 1/10000
Background :The product of CAMK2A (calcium/calmodulin dependent protein kinase II alpha) belongs to the serine/threonine protein kinases family, and to the Ca(2+)/calmodulin-dependent protein kinases subfamily. Calcium signaling is crucial for several aspects of plasticity at glutamatergic synapses. This calcium calmodulin-dependent protein kinase is composed of four different chains: alpha, beta, gamma, and delta. The alpha chain encoded by this gene is required for hippocampal long-term potentiation (LTP) and spatial learning. In addition to its calcium-calmodulin (CaM)-dependent activity, this protein can undergo autophosphorylation, resulting in CaM-independent activity. Two transcript variants encoding distinct isoforms have been identified for CAMK2A.
Product :Liquid in PBS containing 50% glycerol, 0.5% BSA and 0.02% sodium azide, pH 7.3.
Purification&Purity :Affinity Purified
Storage&Stability :Store at 4°C short term. Aliquot and store at -20°C long term. Avoid freeze-thaw cycles.
Specificity :IgG
BiowMW :Calculated MW: 54 kDa; Observed MW: 54 kDa
Note :For research use only, not for use in diagnostic procedure.
Alternative Name :CAMK2A; CAMKA; KIAA0968; Calcium/calmodulin-dependent protein kinase type II subunit alpha; CaM kinase II subunit alpha; CaMK-II subunit alpha; CAMK2D; CAMKD; Calcium/calmodulin-dependent protein kinase type II subunit delta; CaM kinase II
Immunogen :The antiserum was produced against synthesized peptide derived from human CaMK2 alpha/delta. AA range:256-305
Conjugate :Unconjugated
Modification :Unmodified
Western blot analysis of CaMKII alpha/delta in NIH3T3/K562 lysates using CaMKII alpha/delta antibody.
Immunofluorescence analysis of CaMKII alpha/delta in MCF-7 using CaMK2 alpha/delta antibody. The picture on the right is blocked using the synthesized peptide.
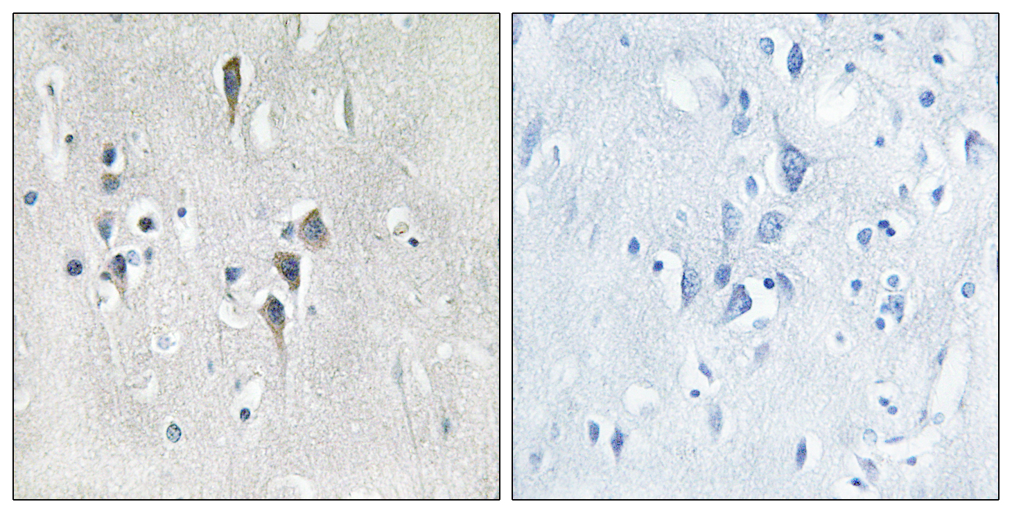
Immunohistochemistry analysis of paraffin-embedded Human brain tissue using CaMK2 alpha/delta antibody. High-pressure and temperature Sodium Citrate pH 6.0 was used for antigen retrieval. Sample with blocking peptide on the right.

关注我们

400-660-9091

电话:025-68037686

地址:江苏生命科技创新园F6幢1层

订购:nanjing03@biogot.com

服务:biorase01@biogot.com

合作:lvyun@biogot.com

支持:may@biogot.com