中国 EN 400-660-9091

联系我们

电话:025-68037686

地址:江苏生命科技创新园F6幢1层

订购:nanjing03@biogot.com

服务:biorase01@biogot.com

合作:lvyun@biogot.com

支持:may@biogot.com

Phospho-ErbB 2 (Tyr1221/Tyr1222) polyclonal antibody

货号: BZ16411
价格 1350
货期 现货(1-2个工作日)
25ul 50ul 100ul 200ul
No. :BZ16411
Product Name :Phospho-ErbB 2 (Tyr1221/Tyr1222) polyclonal antibody
Swiss-Prot :P04626
Host :Rabbit
Reactivity :Human,Mouse,Rat
Applications :WB,IHC-P,IP,ELISA
Application_all :WB: 1/500-1/1000 IHC: 1/50-1/100 IP: 1/20 ELISA: 1/10000
Background :This gene encodes a member of the epidermal growth factor (EGF) receptor family of receptor tyrosine kinases. This protein has no ligand binding domain of its own and therefore cannot bind growth factors. However, it does bind tightly to other ligand-bound EGF receptor family members to form a heterodimer, stabilizing ligand binding and enhancing kinase-mediated activation of downstream signalling pathways, such as those involving mitogen-activated protein kinase and phosphatidylinositol-3 kinase.
Product :Liquid in PBS containing 50% glycerol, 0.5% BSA and 0.02% sodium azide, pH 7.3.
Purification&Purity :Affinity Purified
Storage&Stability :Store at 4°C short term. Aliquot and store at -20°C long term. Avoid freeze-thaw cycles.
Specificity :IgG
BiowMW :Calculated MW: 138 kDa; Observed MW: 180 kDa
Note :For research use only, not for use in diagnostic procedure.
Alternative Name :ERBB2; HER2; MLN19; NEU; NGL; Receptor tyrosine-protein kinase erbB-2; Metastatic lymph node gene 19 protein; MLN 19; Proto-oncogene Neu; Proto-oncogene c-ErbB-2; Tyrosine kinase-type cell surface receptor HER2; p185erbB2; CD antigen CD340
Immunogen :The antiserum was produced against synthesized peptide derived from human HER2 around the phosphorylation site of Tyr1221/Tyr1222. AA range:1191-1240
Conjugate :Unconjugated
Modification :Phosphorylated
Western blot analysis of Phospho-ErbB 2 in various lysates using Phospho-ErbB 2 antibody.
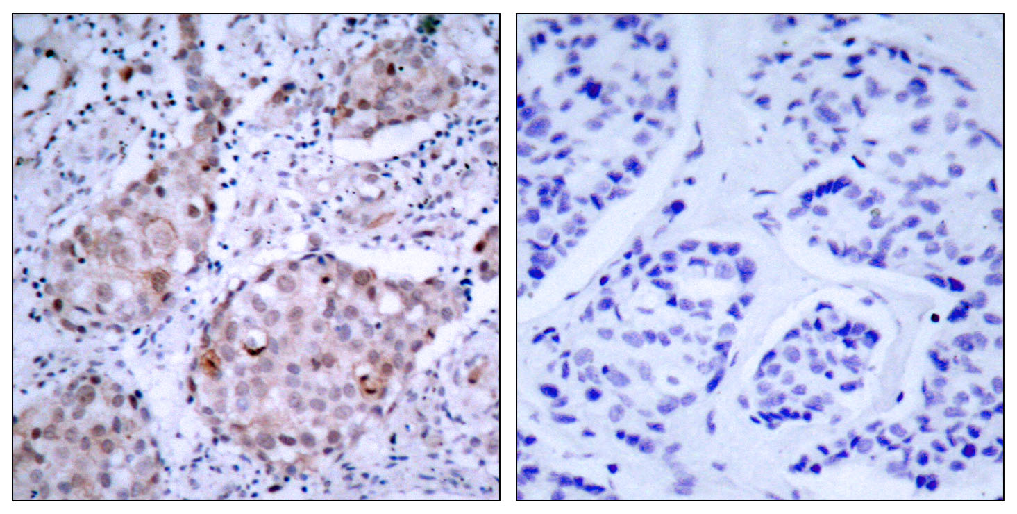
Immunohistochemistry analysis of paraffin-embedded Human breast carcinoma, using HER2 antibody.High-pressure and temperature Sodium Citrate pH 6.0 was used for antigen retrieval. Sample with blocking peptide on the right.

关注我们

400-660-9091

电话:025-68037686

地址:江苏生命科技创新园F6幢1层

订购:nanjing03@biogot.com

服务:biorase01@biogot.com

合作:lvyun@biogot.com

支持:may@biogot.com