中国 EN 400-660-9091

联系我们

电话:025-68037686

地址:江苏生命科技创新园F6幢1层

订购:nanjing03@biogot.com

服务:biorase01@biogot.com

合作:lvyun@biogot.com

支持:may@biogot.com

Phospho-IRS1 (Ser639) polyclonal antibody

货号: BZ16409
价格 1350
货期 现货(1-2个工作日)
25ul 50ul 100ul 200ul
No. :BZ16409
Product Name :Phospho-IRS1 (Ser639) polyclonal antibody
Swiss-Prot :P35568
Host :Rabbit
Reactivity :Human,Mouse,Rat
Applications :WB,IHC-P,ELISA
Application_all :WB: 1/500-1/1000 IHC: 1/50-1/100 ELISA: 1/10000
Background :May mediate the control of various cellular processes by insulin. When phosphorylated by the insulin receptor binds specifically to various cellular proteins containing SH2 domains such as phosphatidylinositol 3-kinase p85 subunit or GRB2. Activates phosphatidylinositol 3-kinase when bound to the regulatory p85 subunit .
Product :Liquid in PBS containing 50% glycerol, 0.5% BSA and 0.02% sodium azide, pH 7.3.
Purification&Purity :Affinity Purified
Storage&Stability :Store at 4°C short term. Aliquot and store at -20°C long term. Avoid freeze-thaw cycles.
Specificity :IgG
BiowMW :Calculated MW: 132 kDa; Observed MW: 150 kDa
Note :For research use only, not for use in diagnostic procedure.
Alternative Name :IRS1; Insulin receptor substrate 1; IRS-1
Immunogen :The antiserum was produced against synthesized peptide derived from human IRS-1 around the phosphorylation site of Ser639. AA range:605-654
Conjugate :Unconjugated
Modification :Phosphorylated
Western blot analysis of Phospho-IRS1 in various lysates using Phospho-IRS1 antibody.
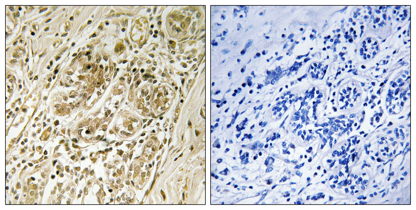
Immunohistochemistry analysis of paraffin-embedded Human breast carcinoma, using IRS1 antibody.High-pressure and temperature Sodium Citrate pH 6.0 was used for antigen retrieval. Sample with blocking peptide on the right.

关注我们

400-660-9091

电话:025-68037686

地址:江苏生命科技创新园F6幢1层

订购:nanjing03@biogot.com

服务:biorase01@biogot.com

合作:lvyun@biogot.com

支持:may@biogot.com