中国 EN 400-660-9091

联系我们

电话:025-68037686

地址:江苏生命科技创新园F6幢1层

订购:nanjing03@biogot.com

服务:biorase01@biogot.com

合作:lvyun@biogot.com

支持:may@biogot.com

Phospho-EGFR (Tyr1092) polyclonal antibody

货号: BZ16408
价格 1350
货期 现货(1-2个工作日)
25ul 50ul 100ul 200ul
No. :BZ16408
Product Name :Phospho-EGFR (Tyr1092) polyclonal antibody
Swiss-Prot :P00533
Host :Rabbit
Reactivity :Human,Mouse,Rat
Applications :WB,IHC-P,ELISA
Application_all :WB: 1/500-1/1000 IHC: 1/50-1/100 ELISA: 1/10000
Background :EGFR is a receptor tyrosine kinase. Receptor for epidermal growth factor (EGF) and related growth factors including TGF-alpha, amphiregulin, betacellulin, heparin-binding EGF-like growth factor, GP30 and vaccinia virus growth factor. Is involved in the control of cell growth and differentiation. . A single-pass transmembrane tyrosine kinase. Ligand binding to this receptor results in receptor dimerization, autophosphorylation (in trans), activation of various downstream signaling molecules and lysosomal degradation.
Product :Liquid in PBS containing 50% glycerol, 0.5% BSA and 0.02% sodium azide, pH 7.3.
Purification&Purity :Affinity Purified
Storage&Stability :Store at 4°C short term. Aliquot and store at -20°C long term. Avoid freeze-thaw cycles.
Specificity :IgG
BiowMW :Calculated MW: 134 kDa; Observed MW: 140-160 kDa
Note :For research use only, not for use in diagnostic procedure.
Alternative Name :EGFR; ERBB; ERBB1; HER1; Epidermal growth factor receptor; Proto-oncogene c-ErbB-1; Receptor tyrosine-protein kinase erbB-1
Immunogen :The antiserum was produced against synthesized peptide derived from human EGFR around the phosphorylation site of Tyr1092. AA range:1061-1110
Conjugate :Unconjugated
Modification :Phosphorylated
Western blot analysis of Phospho-EGFR in various lysates using Phospho-EGFR antibody.
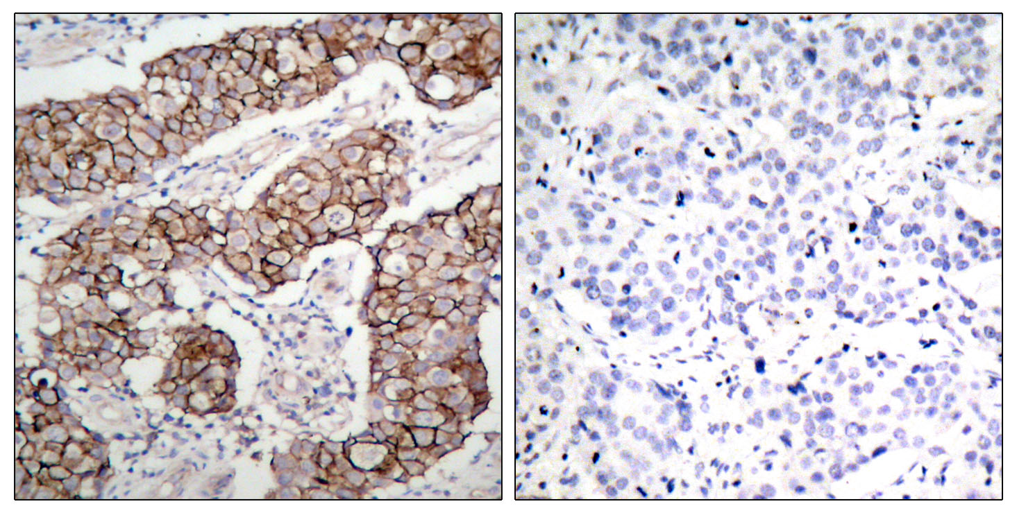
Immunohistochemistry analysis of paraffin-embedded Human breast carcinoma, using EGFR antibody.High-pressure and temperature Sodium Citrate pH 6.0 was used for antigen retrieval. Sample with blocking peptide on the right.

关注我们

400-660-9091

电话:025-68037686

地址:江苏生命科技创新园F6幢1层

订购:nanjing03@biogot.com

服务:biorase01@biogot.com

合作:lvyun@biogot.com

支持:may@biogot.com