中国 EN 400-660-9091

联系我们

电话:025-68037686

地址:江苏生命科技创新园F6幢1层

订购:nanjing03@biogot.com

服务:biorase01@biogot.com

合作:lvyun@biogot.com

支持:may@biogot.com

Cleaved-Caspase 3 p17 polyclonal antibody

货号: BZ16405
价格 1350
货期 现货(1-2个工作日)
25ul 50ul 100ul 200ul
No. :BZ16405
Product Name :Cleaved-Caspase 3 p17 polyclonal antibody
Swiss-Prot :P42574
Host :Rabbit
Reactivity :Human,Mouse,Rat
Applications :WB,ICC/IF,IHC-F,IHC-P,ELISA
Application_all :WB: 1/500-1/1000 IHC: 1/50-1/100 IF: 1/50-1/200 ELISA: 1/10000
Background :Sequential activation of caspases plays a central role in the execution-phase of cell apoptosis. Caspases exist as inactive proenzymes which undergo proteolytic processing at conserved aspartic residues to produce 2 subunits, large and small, that dimerize to form the active enzyme.
Product :Liquid in PBS containing 50% glycerol, 0.5% BSA and 0.02% sodium azide, pH 7.3.
Purification&Purity :Affinity Purified
Storage&Stability :Store at 4°C short term. Aliquot and store at -20°C long term. Avoid freeze-thaw cycles.
Specificity :IgG
BiowMW :Calculated MW: 32 kDa; Observed MW: 17 kDa
Note :For research use only, not for use in diagnostic procedure.
Alternative Name :CASP3; CPP32; Caspase-3; CASP-3; Apopain; Cysteine protease CPP32; CPP-32; Protein Yama; SREBP cleavage activity 1; SCA-1
Immunogen :The antiserum was produced against synthesized peptide derived from human Caspase 3. AA range:126-175
Conjugate :Unconjugated
Modification :Cleaved
Western blot analysis of Cleaved-Caspase3 in various lysates using Cleaved-Caspase3 p17 antibody.
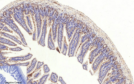
Immunohistochemistry analysis of paraffin-embedded mouse colon tissue using Cleaved-Caspase3 p17 antibody High-pressure and temperature Sodium Citrate pH 6.0 was used for antigen retrieval.
  • Preservation solution protects isolated hair micrografts by inhibiting apoptosis of hair bulb
    Journal10.1016/j.lfs.2024.123292
    ApplicationWB
    IF5.2
    SpeciesHuman

关注我们

400-660-9091

电话:025-68037686

地址:江苏生命科技创新园F6幢1层

订购:nanjing03@biogot.com

服务:biorase01@biogot.com

合作:lvyun@biogot.com

支持:may@biogot.com