中国 EN 400-660-9091

联系我们

电话:025-68037686

地址:江苏生命科技创新园F6幢1层

订购:nanjing03@biogot.com

服务:biorase01@biogot.com

合作:lvyun@biogot.com

支持:may@biogot.com

TAK1 polyclonal antibody

货号: BZ16400
价格 1140
货期 现货(1-2个工作日)
25ul 50ul 100ul 200ul
No. :BZ16400
Product Name :TAK1 polyclonal antibody
Swiss-Prot :O43318
Host :Rabbit
Reactivity :Human,Mouse,Rat
Applications :ICC/IF,WB,IHC-F,IHC-P,ELISA
Application_all :WB: 1/500-1/1000 IHC: 1/50-1/100 IF: 1/50-1/200 ELISA: 1/10000
Background :Component of a protein kinase signal transduction cascade. Mediator of TRAF6 and TGF-beta signal transduction. Activates IKBKB and MAPK8 in response to TRAF6 signaling. Stimulates NF-kappa-B activation and the p38 MAPK pathway. In osmotic stress signaling, plays a major role in the activation of MAPK8/JNK, but not that of NF-kappa-B.
Product :Liquid in PBS containing 50% glycerol, 0.5% BSA and 0.02% sodium azide, pH 7.3.
Purification&Purity :Affinity Purified
Storage&Stability :Store at 4°C short term. Aliquot and store at -20°C long term. Avoid freeze-thaw cycles.
Specificity :IgG
BiowMW :Calculated MW: 67 kDa; Observed MW: 70 kDa
Note :For research use only, not for use in diagnostic procedure.
Alternative Name :MAP3K7; TAK1; Mitogen-activated protein kinase kinase kinase 7; Transforming growth factor-beta-activated kinase 1; TGF-beta-activated kinase 1
Immunogen :The antiserum was produced against synthesized peptide derived from human MAP3K7. AA range:161-210
Conjugate :Unconjugated
Modification :Unmodified
Western blot analysis of TAK1 in Jurkat lysates, treated with heat shock lysates using TAK1 antibody. The lane on the right is blocked with the synthesized peptide.
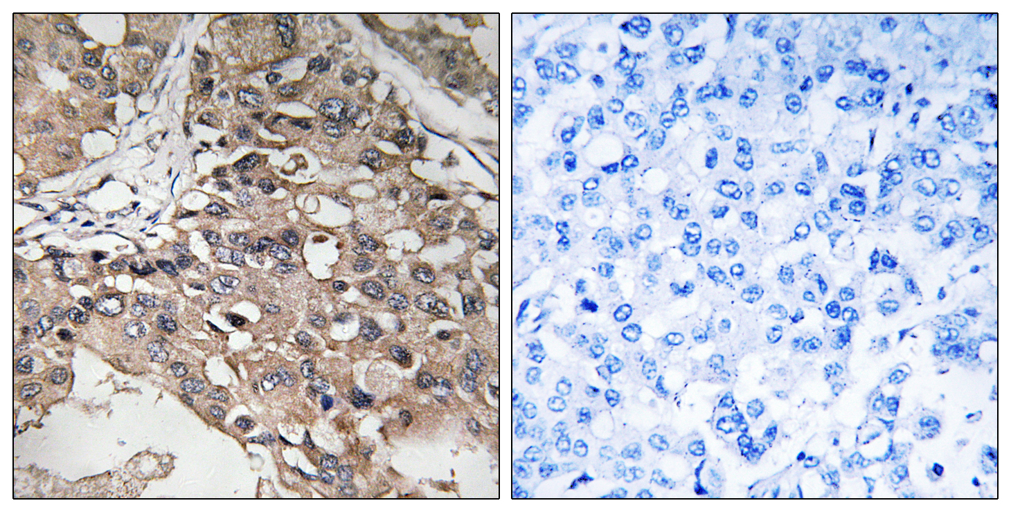
Immunohistochemistry analysis of paraffin-embedded Human breast carcinoma using TAK1 antibody.High-pressure and temperature Sodium Citrate pH 6.0 was used for antigen retrieval. Sample with blocking peptide on the right.
Immunofluorescence analysis of TAK1 in rat kidney using Tak1 antibody,and DAPI .

关注我们

400-660-9091

电话:025-68037686

地址:江苏生命科技创新园F6幢1层

订购:nanjing03@biogot.com

服务:biorase01@biogot.com

合作:lvyun@biogot.com

支持:may@biogot.com