中国 EN 400-660-9091

联系我们

电话:025-68037686

地址:江苏生命科技创新园F6幢1层

订购:nanjing03@biogot.com

服务:biorase01@biogot.com

合作:lvyun@biogot.com

支持:may@biogot.com

Synapsin 1 polyclonal antibody

货号: BZ16399
价格 1140
货期 现货(1-2个工作日)
25ul 50ul 100ul 200ul
No. :BZ16399
Product Name :Synapsin 1 polyclonal antibody
Swiss-Prot :P17600
Host :Rabbit
Reactivity :Human,Mouse,Rat
Applications :WB,IHC-F,IHC-P,ICC/IF,ELISA
Application_all :WB: 1/500-1/1000 IHC: 1/50-1/100 IF: 1/50-1/200 ELISA: 1/10000
Background :This gene is a member of the synapsin gene family. Synapsins encode neuronal phosphoproteins which associate with the cytoplasmic surface of synaptic vesicles. Family members are characterized by common protein domains, and they are implicated in synaptogenesis and the modulation of neurotransmitter release, suggesting a potential role in several neuropsychiatric diseases.
Product :Liquid in PBS containing 50% glycerol, 0.5% BSA and 0.02% sodium azide, pH 7.3.
Purification&Purity :Affinity Purified
Storage&Stability :Store at 4°C short term. Aliquot and store at -20°C long term. Avoid freeze-thaw cycles.
Specificity :IgG
BiowMW :Calculated MW: 74 kDa; Observed MW: 74 kDa
Note :For research use only, not for use in diagnostic procedure.
Alternative Name :SYN1; Synapsin-1; Brain protein 4.1; Synapsin I
Immunogen :The antiserum was produced against synthesized peptide derived from human Synapsin. AA range:3-52
Conjugate :Unconjugated
Modification :Unmodified
Western blot analysis of Synapsin 1 in Hela, 293, 3T3 lysates using Synapsin 1 antibody.
Immunofluorescence analysis of Synapsin 1 in Hela using Synapsin I antibody
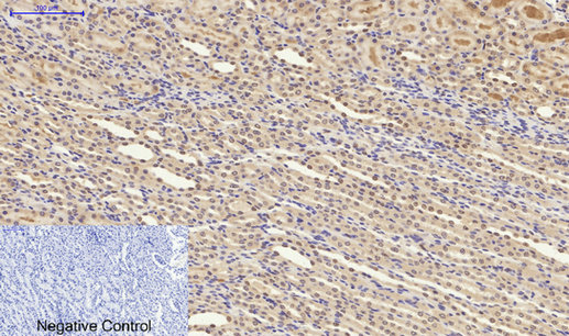
Immunohistochemistry analysis of paraffin-embedded rat kidney tissue using Synapsin 1 antibody. High-pressure and temperature Sodium Citrate pH 6.0 was used for antigen retrieval.

关注我们

400-660-9091

电话:025-68037686

地址:江苏生命科技创新园F6幢1层

订购:nanjing03@biogot.com

服务:biorase01@biogot.com

合作:lvyun@biogot.com

支持:may@biogot.com