中国 EN 400-660-9091

联系我们

电话:025-68037686

地址:江苏生命科技创新园F6幢1层

订购:nanjing03@biogot.com

服务:biorase01@biogot.com

合作:lvyun@biogot.com

支持:may@biogot.com

Phospho-PERK (Thr982) polyclonal antibody

货号: BZ16392
价格 1350
货期 现货(1-2个工作日)
25ul 50ul 100ul 200ul
No. :BZ16392
Product Name :Phospho-PERK (Thr982) polyclonal antibody
Swiss-Prot :Q9NZJ5
Host :Rabbit
Reactivity :Human,Mouse,Rat
Applications :ICC/IF,WB,IHC-F,IHC-P,ELISA
Application_all :WB: 1/500-1/1000 IHC: 1/50-1/100 IF: 1/50-1/200 ELISA: 1/10000
Background :Metabolic-stress sensing protein kinase that phosphorylates the alpha subunit of eukaryotic translation initiation factor 2 (eIF-2-alpha/EIF2S1) on 'Ser-52' during the unfolded protein response (UPR) and in response to low amino acid availability. Converts phosphorylated eIF-2-alpha/EIF2S1 either in a global protein synthesis inhibitor, leading to a reduced overall utilization of amino acids, or to a translation initiation activator of specific mRNAs, such as the transcriptional activator ATF4, and hence allowing ATF4-mediated reprogramming of amino acid biosynthetic gene expression to alleviate nutrient depletion. Serves as a critical effector of unfolded protein response (UPR)-induced G1 growth arrest due to the loss of cyclin-D1 (CCND1). Involved in control of mitochondrial morphology and function.
Product :Liquid in PBS containing 50% glycerol, 0.5% BSA and 0.02% sodium azide, pH 7.3.
Purification&Purity :Affinity Purified
Storage&Stability :Store at 4°C short term. Aliquot and store at -20°C long term. Avoid freeze-thaw cycles.
Specificity :IgG
BiowMW :Calculated MW: 125 kDa; Observed MW: 130 kDa
Note :For research use only, not for use in diagnostic procedure.
Alternative Name :EIF2AK3; PEK; PERK; Eukaryotic translation initiation factor 2-alpha kinase 3; PRKR-like endoplasmic reticulum kinase; Pancreatic eIF2-alpha kinase; HsPEK
Immunogen :The antiserum was produced against synthesized peptide derived from human PEK/PERK around the phosphorylation site of Thr982. AA range:947-996
Conjugate :Unconjugated
Modification :Phosphorylated
Western blot analysis of Phospho-PERK in A453, AD293, Hela lysates using Phospho-PERK antibody.
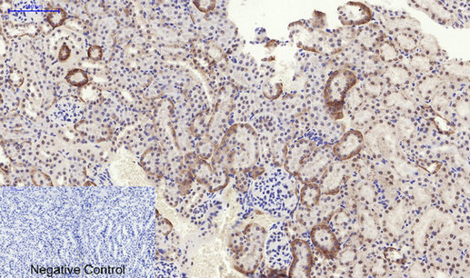
Immunohistochemistry analysis of paraffin-embedded mouse kidney tissue using Phospho-PERK antibody High-pressure and temperature Sodium Citrate pH 6.0 was used for antigen retrieval.
  • GRP78/IRE1 and cGAS/STING pathway crosstalk through CHOP facilitates iodoacetic acid-mediated testosterone decline
    JournalJOURNAL OF HAZARDOUS MATERIALS
    ApplicationWB
    IF12.2
    SpeciesRat

关注我们

400-660-9091

电话:025-68037686

地址:江苏生命科技创新园F6幢1层

订购:nanjing03@biogot.com

服务:biorase01@biogot.com

合作:lvyun@biogot.com

支持:may@biogot.com