中国 EN 400-660-9091

联系我们

电话:025-68037686

地址:江苏生命科技创新园F6幢1层

订购:nanjing03@biogot.com

服务:biorase01@biogot.com

合作:lvyun@biogot.com

支持:may@biogot.com

Phospho-p53 (Ser15) polyclonal antibody

货号: BZ16379
价格 1350
货期 现货(1-2个工作日)
25ul 50ul 100ul 200ul
No. :BZ16379
Product Name :Phospho-p53 (Ser15) polyclonal antibody
Swiss-Prot :P04637
Host :Rabbit
Reactivity :Human,Rat
Applications :WB,IHC-F,IHC-P,IP,ICC/IF,ELISA
Application_all :WB: 1/500-1/1000 IHC: 1/50-1/100 IF: 1/50-1/200 IP: 1/20 ELISA: 1/10000
Background :Tumor protein p53, a nuclear protein, plays an essential role in the regulation of cell cycle, specifically in the transition from G0 to G1. It is found in very low levels in normal cells, however, in a variety of transformed cell lines, it is expressed in high amounts, and believed to contribute to transformation and malignancy. p53 is a DNA-binding protein containing DNA-binding, oligomerization and transcription activation domains.
Product :Liquid in PBS containing 50% glycerol, 0.5% BSA and 0.02% sodium azide, pH 7.3.
Purification&Purity :Affinity Purified
Storage&Stability :Store at 4°C short term. Aliquot and store at -20°C long term. Avoid freeze-thaw cycles.
Specificity :IgG
BiowMW :Calculated MW: 44 kDa; Observed MW: 48 kDa
Note :For research use only, not for use in diagnostic procedure.
Alternative Name :TP53; P53; Cellular tumor antigen p53; Antigen NY-CO-13; Phosphoprotein p53; Tumor suppressor p53
Immunogen :The antiserum was produced against synthesized peptide derived from human p53 around the phosphorylation site of Ser15. AA range:1-50
Conjugate :Unconjugated
Modification :Phosphorylated
Western blot analysis of Phospho-p53 in HeLa treated with HU lysates using Phospho-p53 antibody.The lane on the right is blocked with the Phospho- peptide.
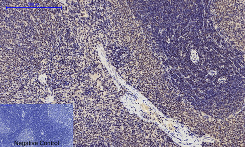
Immunohistochemistry analysis of paraffin-embedded rat spleen tissue using Phospho-p53 antibody.High-pressure and temperature Sodium Citrate pH 6.0 was used for antigen retrieval.
Immunofluorescence analysis of Phospho-p53 in rat spleen tissue using antibody.

关注我们

400-660-9091

电话:025-68037686

地址:江苏生命科技创新园F6幢1层

订购:nanjing03@biogot.com

服务:biorase01@biogot.com

合作:lvyun@biogot.com

支持:may@biogot.com