中国 EN 400-660-9091

联系我们

电话:025-68037686

地址:江苏生命科技创新园F6幢1层

订购:nanjing03@biogot.com

服务:biorase01@biogot.com

合作:lvyun@biogot.com

支持:may@biogot.com

ER beta polyclonal antibody

货号: BZ16355
价格 1140
货期 现货(1-2个工作日)
25ul 50ul 100ul 200ul
No. :BZ16355
Product Name :ER beta polyclonal antibody
Swiss-Prot :Q92731
Host :Rabbit
Reactivity :Human,Mouse,Rat
Applications :WB,IHC-F,IHC-P,ICC/IF,ELISA
Application_all :WB: 1/500-1/1000 IHC: 1/50-1/100 IF: 1/50-1/200 ELISA: 1/10000
Background :Nuclear hormone receptor. Binds estrogens with an affinity similar to that of ESR1, and activates expression of reporter genes containing estrogen response elements (ERE) in an estrogen-dependent manner (PubMed:20074560).
Product :Liquid in PBS containing 50% glycerol, 0.5% BSA and 0.02% sodium azide, pH 7.3.
Purification&Purity :Affinity Purified
Storage&Stability :Store at 4°C short term. Aliquot and store at -20°C long term. Avoid freeze-thaw cycles.
Specificity :IgG
BiowMW :Calculated MW: 59 kDa; Observed MW: 59 kDa
Note :For research use only, not for use in diagnostic procedure.
Alternative Name :ESR2; ESTRB; NR3A2; Estrogen receptor beta; ER-beta; Nuclear receptor subfamily 3 group A member 2
Immunogen :The antiserum was produced against synthesized peptide derived from human Estrogen Receptor-beta. AA range:71-120
Conjugate :Unconjugated
Modification :Unmodified
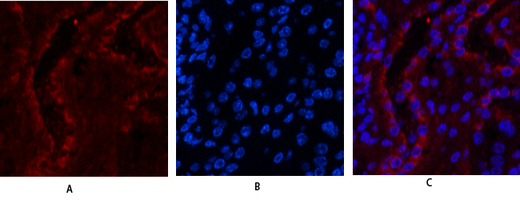
Immunofluorescence analysis of ER beta in mouse kidney tissue using ER beta antibody,and DAPI .
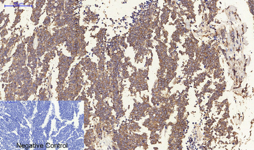
Immunohistochemical analysis of paraffin-embedded Human tonsils using ER beta antibody.High-pressure and temperature Sodium Citrate pH 6.0 was used for antigen retrieval.Negative control was used by secondary antibody only.
Immunohistochemistry analysis of paraffin-embedded rat liver tissue using ERβ antibody. High-pressure and temperature Sodium Citrate pH 6.0 was used for antigen retrieval.Negative control was used by secondary antibody only.

关注我们

400-660-9091

电话:025-68037686

地址:江苏生命科技创新园F6幢1层

订购:nanjing03@biogot.com

服务:biorase01@biogot.com

合作:lvyun@biogot.com

支持:may@biogot.com