中国 EN 400-660-9091

联系我们

电话:025-68037686

地址:江苏生命科技创新园F6幢1层

订购:nanjing03@biogot.com

服务:biorase01@biogot.com

合作:lvyun@biogot.com

支持:may@biogot.com

Cyclin B1 polyclonal antibody

货号: BZ16351
价格 1140
货期 现货(1-2个工作日)
25ul 50ul 100ul 200ul
No. :BZ16351
Product Name :Cyclin B1 polyclonal antibody
Swiss-Prot :P14635
Host :Rabbit
Reactivity :Human,Mouse,Rat
Applications :WB,IHC-F,IHC-P,ICC/IF,ELISA
Application_all :WB: 1/500-1/1000 IHC: 1/50-1/100 IF: 1/50-1/200 ELISA: 1/10000
Background :Essential for the control of the cell cycle at the G2/M (mitosis) transition. a member of the highly conserved cyclin family, whose members are characterized by a dramatic periodicity in protein abundance through the cell cycle. Cyclins function as regulators of CDK kinases.
Product :Liquid in PBS containing 50% glycerol, 0.5% BSA and 0.02% sodium azide, pH 7.3.
Purification&Purity :Affinity Purified
Storage&Stability :Store at 4°C short term. Aliquot and store at -20°C long term. Avoid freeze-thaw cycles.
Specificity :IgG
BiowMW :Calculated MW: 48 kDa; Observed MW: 60 kDa
Note :For research use only, not for use in diagnostic procedure.
Alternative Name :CCNB1; CCNB; G2/mitotic-specific cyclin-B1
Immunogen :The antiserum was produced against synthesized peptide derived from human Cyclin B1. AA range:91-140
Conjugate :Unconjugated
Modification :Unmodified
Western blot analysis of Cyclin B1 in PC-12 lysates using Cyclin B1 antibody.
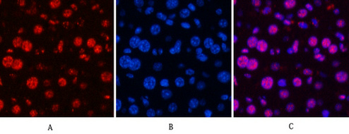
Immunofluorescence analysis of Cyclin B1 in mouse liver using Cyclin B1 antibody,and DAPI .
Immunofluorescence analysis of Cyclin B1 in rat liver using Cyclin B1 antibody.

关注我们

400-660-9091

电话:025-68037686

地址:江苏生命科技创新园F6幢1层

订购:nanjing03@biogot.com

服务:biorase01@biogot.com

合作:lvyun@biogot.com

支持:may@biogot.com