中国 EN 400-660-9091

联系我们

电话:025-68037686

地址:江苏生命科技创新园F6幢1层

订购:nanjing03@biogot.com

服务:biorase01@biogot.com

合作:lvyun@biogot.com

支持:may@biogot.com

Phospho-TGF beta Receptor I (Ser165) polyclonal antibody

货号: BZ16332
价格 1350
货期 现货(1-2个工作日)
25ul 50ul 100ul 200ul
No. :BZ16332
Product Name :Phospho-TGF beta Receptor I (Ser165) polyclonal antibody
Swiss-Prot :P36897
Host :Rabbit
Reactivity :Human,Mouse,Rat
Applications :WB,IHC-P,ICC/IF,ELISA
Application_all :WB: 1/500-1/1000 IHC: 1/50-1/100 ICC: 1/100-1/200 ELISA: 1/10000
Background :The protein encoded by this gene forms a heteromeric complex with type II TGF-beta receptors when bound to TGF-beta, transducing the TGF-beta signal from the cell surface to the cytoplasm. The encoded protein is a serine/threonine protein kinase.
Product :Liquid in PBS containing 50% glycerol, 0.5% BSA and 0.02% sodium azide, pH 7.3.
Purification&Purity :Affinity Purified
Storage&Stability :Store at 4°C short term. Aliquot and store at -20°C long term. Avoid freeze-thaw cycles.
Specificity :IgG
BiowMW :Calculated MW: 56 kDa; Observed MW: 56 kDa
Note :For research use only, not for use in diagnostic procedure.
Alternative Name :TGFBR1; ALK5; SKR4; TGF-beta receptor type-1; TGFR-1; Activin A receptor type II-like protein kinase of 53kD; Activin receptor-like kinase 5; ALK-5; ALK5; Serine/threonine-protein kinase receptor R4; SKR4; TGF-beta type I receptor; Transfor
Immunogen :Synthetic peptide of human TGFBR1
Conjugate :Unconjugated
Modification :Phosphorylated
Western blot analysis of Phospho-TGF beta Receptor I in mouse liver lysates using Phospho-TGF beta Receptor I antibody.
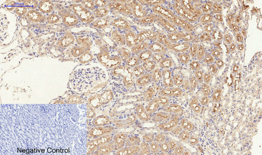
Immunohistochemistry analysis of paraffin-embedded rat kidney tissue using Phospho-TGF beta Receptor I antibody.High-pressure and temperature Sodium Citrate pH 6.0 was used for antigen retrieval.
Immunofluorescence analysis of Phospho-TGF beta Receptor I in HepG2 cells using Phospho-TGF beta Receptor I antibody.

关注我们

400-660-9091

电话:025-68037686

地址:江苏生命科技创新园F6幢1层

订购:nanjing03@biogot.com

服务:biorase01@biogot.com

合作:lvyun@biogot.com

支持:may@biogot.com