中国 EN 400-660-9091

联系我们

电话:025-68037686

地址:江苏生命科技创新园F6幢1层

订购:nanjing03@biogot.com

服务:biorase01@biogot.com

合作:lvyun@biogot.com

支持:may@biogot.com

Phospho-Syk (Tyr348) polyclonal antibody

货号: BZ16329
价格 1350
货期 现货(1-2个工作日)
25ul 50ul 100ul 200ul
No. :BZ16329
Product Name :Phospho-Syk (Tyr348) polyclonal antibody
Swiss-Prot :P43405
Host :Rabbit
Reactivity :Human,Mouse,Rat,Monkey
Applications :WB,IHC-P,ELISA
Application_all :WB: 1/500-1/1000 IHC: 1/50-1/100 ELISA: 1/10000
Background :This gene encodes a member of the family of non-receptor type Tyr protein kinases. This protein is widely expressed in hematopoietic cells and is involved in coupling activated immunoreceptors to downstream signaling events that mediate diverse cellular responses, including proliferation, differentiation, and phagocytosis. It is thought to be a modulator of epithelial cell growth and a potential tumour suppressor in human breast carcinomas. Alternatively spliced transcript variants encoding different isoforms have been found for this gene.
Product :Liquid in PBS containing 50% glycerol, 0.5% BSA and 0.02% sodium azide, pH 7.3.
Purification&Purity :Affinity Purified
Storage&Stability :Store at 4°C short term. Aliquot and store at -20°C long term. Avoid freeze-thaw cycles.
Specificity :IgG
BiowMW :Calculated MW: 72 kDa; Observed MW: 72 kDa
Note :For research use only, not for use in diagnostic procedure.
Alternative Name :SYK; Tyrosine-protein kinase SYK; Spleen tyrosine kinase; p72-Syk
Immunogen :Synthetic peptide of human SYK
Conjugate :Unconjugated
Modification :Phosphorylated
Western blot analysis of Phospho-Syk in 3T3 lysates using Phospho-Syk antibody.
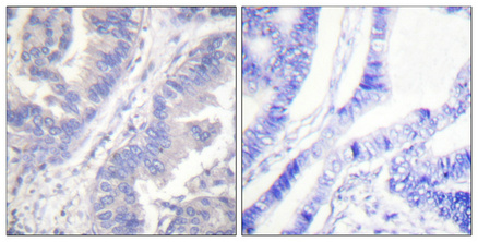
Immunohistochemistry analysis of paraffin-embedded Human lung cancer using Phospho-Syk antibody.High-pressure and temperature Sodium Citrate pH 6.0 was used for antigen retrieval. Sample with blocking peptide on the right.

关注我们

400-660-9091

电话:025-68037686

地址:江苏生命科技创新园F6幢1层

订购:nanjing03@biogot.com

服务:biorase01@biogot.com

合作:lvyun@biogot.com

支持:may@biogot.com