中国 EN 400-660-9091

联系我们

电话:025-68037686

地址:江苏生命科技创新园F6幢1层

订购:nanjing03@biogot.com

服务:biorase01@biogot.com

合作:lvyun@biogot.com

支持:may@biogot.com

Phospho-FRS2 (Tyr436) polyclonal antibody

货号: BZ16309
价格 1350
货期 现货(1-2个工作日)
25ul 50ul 100ul 200ul
No. :BZ16309
Product Name :Phospho-FRS2 (Tyr436) polyclonal antibody
Swiss-Prot :Q8WU20
Host :Rabbit
Reactivity :Human
Applications :WB,IHC-P
Application_all :WB: 1/500-1/1000 IHC: 1/50-1/100
Background :Adapter protein that links FGR and NGF receptors to downstream signaling pathways. Involved in the activation of MAP kinases. Modulates signaling via SHC1 by competing for a common binding site on NTRK1.
Product :Liquid in PBS containing 50% glycerol, 0.5% BSA and 0.02% sodium azide, pH 7.3.
Purification&Purity :Affinity Purified
Storage&Stability :Store at 4°C short term. Aliquot and store at -20°C long term. Avoid freeze-thaw cycles.
Specificity :IgG
BiowMW :Calculated MW: 57 kDa; Observed MW: 65 kDa
Note :For research use only, not for use in diagnostic procedure.
Alternative Name :Fibroblast growth factor receptor substrate 2; FGFR substrate 2; FGFR-signaling adaptor SNT; Suc1-associated neurotrophic factor target 1; SNT-1
Immunogen :Synthetic peptide of human FRS2
Conjugate :Unconjugated
Modification :Phosphorylated
Western blot analysis of Phospho-FRS2 in HUVEC lysates using Phospho-FRS2 antibody.
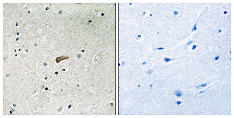
Immunohistochemistry analysis of paraffin-embedded Human brain tissue using FRS2 antibody.High-pressure and temperature Sodium Citrate pH 6.0 was used for antigen retrieval. Sample with blocking peptide on the right.

关注我们

400-660-9091

电话:025-68037686

地址:江苏生命科技创新园F6幢1层

订购:nanjing03@biogot.com

服务:biorase01@biogot.com

合作:lvyun@biogot.com

支持:may@biogot.com