中国 EN 400-660-9091

联系我们

电话:025-68037686

地址:江苏生命科技创新园F6幢1层

订购:nanjing03@biogot.com

服务:biorase01@biogot.com

合作:lvyun@biogot.com

支持:may@biogot.com

Phospho-GSK3 (Tyr279/Tyr216) polyclonal antibody

货号: BZ16306
价格 1350
货期 现货(1-2个工作日)
25ul 50ul 100ul 200ul
No. :BZ16306
Product Name :Phospho-GSK3 (Tyr279/Tyr216) polyclonal antibody
Swiss-Prot :P49840
Host :Rabbit
Reactivity :Human,Mouse,Rat
Applications :WB,IHC-P,ICC/IF
Application_all :WB: 1/500-1/1000 IHC: 1/50-1/100 ICC: 1/100-1/200
Background :GSK3A a proline-directed protein kinase of the GSK family. Implicated in the control of several regulatory proteins including glycogen synthase, Myb, and c-Jun. GSK3 and GSK3 have similar functions. GSK3 phophorylates tau, the principal component of neurofibrillary tangles in Alzheimer disease and is required for maximal production of amyloid plaque peptides by secretase.
Product :Liquid in PBS containing 50% glycerol, 0.5% BSA and 0.02% sodium azide, pH 7.3.
Purification&Purity :Affinity Purified
Storage&Stability :Store at 4°C short term. Aliquot and store at -20°C long term. Avoid freeze-thaw cycles.
Specificity :IgG
BiowMW :Calculated MW: 51 kDa; Observed MW: 46,51 kDa
Note :For research use only, not for use in diagnostic procedure.
Alternative Name :Serine/threonine-protein kinase GSK3A
Immunogen :Synthetic peptide of human GSK3A
Conjugate :Unconjugated
Modification :Phosphorylated
Western blot analysis of Phospho-GSK3 in 293 lysates using Phospho-GSK3 alpha/beta antibody.
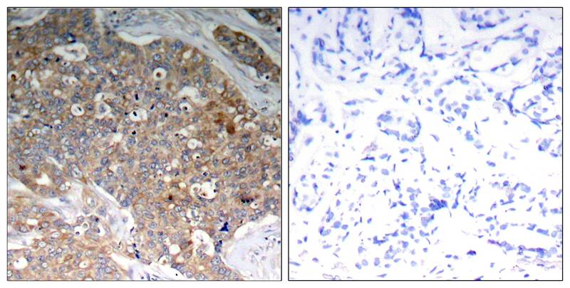
Immunohistochemistry analysis of paraffin-embedded Human breast carcinoma tissue using Phospho-GSK3 antibody.High-pressure and temperature Sodium Citrate pH 6.0 was used for antigen retrieval. Sample with blocking peptide on the right.
Immunofluorescence analysis of Phospho-GSK3 in Hela cells using GSK3a/b antibody.

关注我们

400-660-9091

电话:025-68037686

地址:江苏生命科技创新园F6幢1层

订购:nanjing03@biogot.com

服务:biorase01@biogot.com

合作:lvyun@biogot.com

支持:may@biogot.com