中国 EN 400-660-9091

联系我们

电话:025-68037686

地址:江苏生命科技创新园F6幢1层

订购:nanjing03@biogot.com

服务:biorase01@biogot.com

合作:lvyun@biogot.com

支持:may@biogot.com

Phospho-Connexin 43 (Ser368) polyclonal antibody

货号: BZ16303
价格 1350
货期 现货(1-2个工作日)
25ul 50ul 100ul 200ul
No. :BZ16303
Product Name :Phospho-Connexin 43 (Ser368) polyclonal antibody
Swiss-Prot :P17302
Host :Rabbit
Reactivity :Human,Mouse,Rat
Applications :WB,IHC-P
Application_all :WB: 1/500-1/1000 IHC: 1/50-1/100
Background :Gap junction protein that acts as a regulator of bladder capacity.
Product :Liquid in PBS containing 50% glycerol, 0.5% BSA and 0.02% sodium azide, pH 7.3.
Purification&Purity :Affinity Purified
Storage&Stability :Store at 4°C short term. Aliquot and store at -20°C long term. Avoid freeze-thaw cycles.
Specificity :IgG
BiowMW :Calculated MW: 43 kDa; Observed MW: 43 kDa
Note :For research use only, not for use in diagnostic procedure.
Alternative Name :Connexin 43; Connexin-43; Cx 43; Cx43; CXA1_HUMAN; DFNB38; Gap junction 43 kDa heart protein; Gap junction alpha-1 protein; Gap junction protein alpha 1 43kDa (connexin 43); Gap junction protein alpha 1 43kDa; Gap junction protein alpha like; GJA 1; Gja1; GJAL; ODD; ODDD; ODOD; SDTY3.
Immunogen :Synthetic peptide of human GJA1
Conjugate :Unconjugated
Modification :Phosphorylated
Western blot analysis of Phospho-Connexin 43 in 293 lysates using Phospho-Connexin 43 antibody.
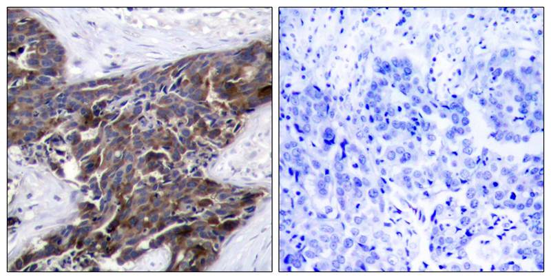
Immunohistochemistry analysis of paraffin-embedded Human breast carcinoma tissue using Connexin 43 antibody.High-pressure and temperature Sodium Citrate pH 6.0 was used for antigen retrieval. Sample with blocking peptide on the right.

关注我们

400-660-9091

电话:025-68037686

地址:江苏生命科技创新园F6幢1层

订购:nanjing03@biogot.com

服务:biorase01@biogot.com

合作:lvyun@biogot.com

支持:may@biogot.com